中国 EN 400-660-9091

联系我们

电话:18013895086

电话:025-68037686

地址:江苏生命科技创新园F6幢1层

订购:nanjing03@biogot.com

服务:biorase01@biogot.com

合作:lvyun@biogot.com

支持:may@biogot.com

HDAC2 monoclonal antibody

货号: MB21989
价格 1200
货期 现货(1-2个工作日)
25ug 50ug 100ug 200ug
No. :MB21989
Product Name :HDAC2 monoclonal antibody
Swiss-Prot :Q92769
Host :Mouse
Reactivity :Human,Mouse,Monkey,Rat
Applications :WB,IHC,FCM
Application_all :WB:1/500 - 1/2000 IHC:1/200 - 1/1000 FC:1/200 - 1/400
Background :This gene product belongs to the histone deacetylase family. Histone deacetylases act via the formation of large multiprotein complexes, and are responsible for the deacetylation of lysine residues at the N-terminal regions of core histones (H2A, H2B, H3 and H4). This protein forms transcriptional repressor complexes by associating with many different proteins, including YY1, a mammalian zinc-finger transcription factor. Thus, it plays an important role in transcriptional regulation, cell cycle progression and developmental events. Alternative splicing results in multiple transcript variants.<br />
Product :Purified antibody in PBS with 0.05% sodium azide
Purification&Purity :The antibody was affinity-purified from mouse ascites by affinity-chromatography using epitope-specific immunogen and the purity is > 95% (by SDS-PAGE).
Storage&Stability :Store at 4°C short term. Aliquot and store at -20°C long term. Avoid freeze-thaw cycles.
Specificity :Mouse IgG1
BiowMW :55.4kDa
Note :For research use only, not for use in diagnostic procedure.
Alternative Name :HD2; RPD3; YAF1
Immunogen :Purified recombinant fragment of human HDAC2 (AA: 217-327) expressed in E. Coli.
Conjugate :Unconjugated
Modification :Unmodification
1上架,0下架 :1
试用装: 1是,0否 :1
限时特惠: 1是,0否 :1
Western blot analysis using HDAC2 mouse mAb against Hela (1), Jurat (2), HepG2 (3), Hek293 (4), K562 (5), MCF-7 (6), NIH3T3 (7), COS7 (8) and PC-12 (9) cell lysate.
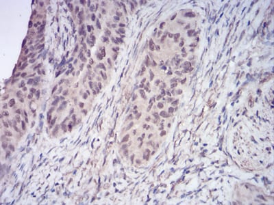
Immunohistochemical analysis of paraffin-embedded human cervical cancer tissues using HDAC2 mouse mAb with DAB staining.

关注我们

400-660-9091

电话:18013895086

地址:江苏生命科技创新园F6幢1层

订购:nanjing03@biogot.com

服务:biorase01@biogot.com

合作:lvyun@biogot.com

支持:may@biogot.com