中国 EN 400-660-9091

联系我们

电话:18013895086

电话:025-68037686

地址:江苏生命科技创新园F6幢1层

订购:nanjing03@biogot.com

服务:biorase01@biogot.com

合作:lvyun@biogot.com

支持:may@biogot.com

TFAP2A monoclonal antibody

货号: MB21957
价格 1200
货期 现货(1-2个工作日)
25ug 50ug 100ug 200ug
No. :MB21957
Product Name :TFAP2A monoclonal antibody
Swiss-Prot :P05549
Host :Mouse
Reactivity :Human,Mouse,Monkey,Rat
Applications :WB,IHC,FCM
Application_all :IHC:1/200 - 1/1000 FC:1/200 - 1/400
Background :The protein encoded by this gene is a transcription factor that binds the consensus sequence 5'-GCCNNNGGC-3'. The encoded protein functions as either a homodimer or as a heterodimer with similar family members. This protein activates the transcription of some genes while inhibiting the transcription of others. Defects in this gene are a cause of branchiooculofacial syndrome (BOFS). Three transcript variants encoding different isoforms have been found for this gene.<br />
Product :Purified antibody in PBS with 0.05% sodium azide
Purification&Purity :The antibody was affinity-purified from mouse ascites by affinity-chromatography using epitope-specific immunogen and the purity is > 95% (by SDS-PAGE).
Storage&Stability :Store at 4°C short term. Aliquot and store at -20°C long term. Avoid freeze-thaw cycles.
Specificity :Mouse IgG1
BiowMW :48kDa
Note :For research use only, not for use in diagnostic procedure.
Alternative Name :AP-2; BOFS; AP2TF; TFAP2; AP-2alpha
Immunogen :Purified recombinant fragment of human TFAP2A (AA: 1-100) expressed in E. Coli.
Conjugate :Unconjugated
Modification :Unmodification
1上架,0下架 :1
试用装: 1是,0否 :1
限时特惠: 1是,0否 :1
Western blot analysis using TFAP2A mouse mAb against Hela (1), MCF-7 (2), Cos7 (3), A431 (4), HCT116 (5), NIH/3T3 (6), and PC12 (7) cell lysate.
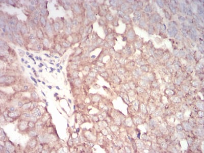
Immunohistochemical analysis of paraffin-embedded human ovarian cancer tissues using TFAP2A mouse mAb with DAB staining.

关注我们

400-660-9091

电话:18013895086

地址:江苏生命科技创新园F6幢1层

订购:nanjing03@biogot.com

服务:biorase01@biogot.com

合作:lvyun@biogot.com

支持:may@biogot.com