中国 EN 400-660-9091

联系我们

电话:18013895086

电话:025-68037686

地址:江苏生命科技创新园F6幢1层

订购:nanjing03@biogot.com

服务:biorase01@biogot.com

合作:lvyun@biogot.com

支持:may@biogot.com

GRK2 monoclonal antibody

货号: MB21463
价格 1200
货期 现货(1-2个工作日)
25ug 50ug 100ug 200ug
No. :MB21463
Product Name :GRK2 monoclonal antibody
Swiss-Prot :P25098
Host :Mouse
Reactivity :Human,Mouse,Rat,Monkey
Applications :WB,IHC,IF
Application_all :WB:1/500 - 1/2000 IHC:1/200 - 1/1000 IF:1/200 - 1/1000
Background :The product of this gene phosphorylates the beta-2-adrenergic receptor and appears to mediate agonist-specific desensitization observed at high agonist concentrations. This protein is an ubiquitous cytosolic enzyme that specifically phosphorylates the activated form of the beta-adrenergic and related G-protein-coupled receptors. Abnormal coupling of beta-adrenergic receptor to G protein is involved in the pathogenesis of the failing heart. (provided by RefSeq)Tissue specificity: Expressed in peripheral blood leukocytes
Product :Ascitic fluid containing 0.03% sodium azide.
Purification&Purity :The antibody was affinity-purified from mouse ascites by affinity-chromatography using epitope-specific immunogen and the purity is > 95% (by SDS-PAGE).
Storage&Stability :Store at 4°C short term. Aliquot and store at -20°C long term. Avoid freeze-thaw cycles.
Specificity :Mouse IgG1
BiowMW :80kDa
Note :For research use only, not for use in diagnostic procedure.
Alternative Name :GRK2; BARK1; FLJ16718; BETA-ARK1; ADRBK1
Immunogen :Purified recombinant fragment of human GRK2 expressed in E. Coli.
Conjugate :Unconjugated
Modification :Unmodification
1上架,0下架 :1
试用装: 1是,0否 :1
限时特惠: 1是,0否 :1
Western blot analysis using GRK2 mouse mAb against Hela (1), Jurkat (2), MOLT4 (3), RAJI (4), THP-1 (5), L1210 (6), Cos7 (7), PC-12 (8), and NIH/3T3 (9) cell lysate.
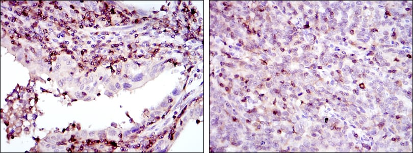
Immunohistochemical analysis of paraffin-embedded human endometrial cancer tissues (left) and cervical cancer tissues (right) using GRK2 mouse mAb with DAB staining.
Immunofluorescence analysis of NIH/3T3 cells using GRK2 mouse mAb (green). Blue: DRAQ5 fluorescent DNA dye.

关注我们

400-660-9091

电话:18013895086

地址:江苏生命科技创新园F6幢1层

订购:nanjing03@biogot.com

服务:biorase01@biogot.com

合作:lvyun@biogot.com

支持:may@biogot.com