中国 EN 400-660-9091

联系我们

电话:18013895086

电话:025-68037686

地址:江苏生命科技创新园F6幢1层

订购:nanjing03@biogot.com

服务:biorase01@biogot.com

合作:lvyun@biogot.com

支持:may@biogot.com

VCAM1 monoclonal antibody

货号: MB21328
价格 1200
货期 现货(1-2个工作日)
25ug 50ug 100ug 200ug
No. :MB21328
Product Name :VCAM1 monoclonal antibody
Swiss-Prot :P19320
Host :Mouse
Reactivity :Human
Applications :WB,IHC
Application_all :WB:1/500 - 1/2000 IHC:1/200 - 1/1000
Background :This gene is a member of the Ig superfamily and encodes a cell surface sialoglycoprotein expressed by cytokine-activated endothelium. This type I membrane protein mediates leukocyte-endothelial cell adhesion and signal transduction, and may play a role in the development of artherosclerosis and rheumatoid arthritis. Two alternatively spliced transcripts encoding different isoforms have been described for this gene.Tissue specificity: Expressed on inflamed vascular endothelium, as well as on macrophage-like and dendritic cell types in both normal and inflamed tissue.INVITROGEN: CD106 is expressed on bone marrow stromal cells, myeloid cells, and endothelial cells.
Product :Purified antibody in PBS with 0.05% sodium azide.
Purification&Purity :The antibody was affinity-purified from mouse ascites by affinity-chromatography using epitope-specific immunogen and the purity is > 95% (by SDS-PAGE).
Storage&Stability :Store at 4°C short term. Aliquot and store at -20°C long term. Avoid freeze-thaw cycles.
Specificity :Mouse IgG1
BiowMW :81kDa
Note :For research use only, not for use in diagnostic procedure.
Alternative Name :CD106; MGC99561; INCAM-100; DKFZp779G2333; VCAM1
Immunogen :Purified recombinant fragment of human VCAM1 expressed in E. Coli.
Conjugate :Unconjugated
Modification :Unmodification
Western blot analysis using VCAM1 mouse mAb against HUVEC (1) and EC (2) cell lysate.
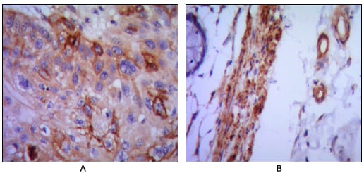
Immunohistochemical analysis of paraffin-embedded human lung cancer (A) and colon cancer (B) using VCAM1 mouse mAb with DAB staining.

关注我们

400-660-9091

电话:18013895086

地址:江苏生命科技创新园F6幢1层

订购:nanjing03@biogot.com

服务:biorase01@biogot.com

合作:lvyun@biogot.com

支持:may@biogot.com