中国 EN 400-660-9091

联系我们

电话:18013895086

电话:025-68037686

地址:江苏生命科技创新园F6幢1层

订购:nanjing03@biogot.com

服务:biorase01@biogot.com

合作:lvyun@biogot.com

支持:may@biogot.com

Desmin monoclonal antibody

货号: MB21084
价格 1200
货期 现货(1-2个工作日)
25ug 50ug 100ug 200ug
No. :MB21084
Product Name :Desmin monoclonal antibody
Swiss-Prot :P17661
Host :Mouse
Reactivity :Human,Mouse,Rat,Rabbit,Monkey
Applications :WB,IHC,FCM
Application_all :WB:1/500 - 1/2000 IHC:1/200 - 1/1000 FC:1/200 - 1/400
Background :Desmin (DES), with 470-amino acid protein (about 52kDa), belongs to the intermediate filament family and Desmin is class III intermediate filaments found in muscle cells. Homopolymers of Desmin form a stable intracytoplasmic filamentous network connecting myofibrils to each other and to the plasma membrane.Mutations in Desmin are associated with desmin-related myopathy, a familial cardiac and skeletal myopathy (CSM), and with distal myopathies.Desmin is also expressed in smooth muscle cells of both airways and alveolar ducts and Desmin is a load-bearing protein that stiffens the airways and consequently the lung and modulates airway contractile response.
Product :Purified antibody in PBS with 0.05% sodium azide
Purification&Purity :The antibody was affinity-purified from mouse ascites by affinity-chromatography using epitope-specific immunogen and the purity is > 95% (by SDS-PAGE).
Storage&Stability :Store at 4°C short term. Aliquot and store at -20°C long term. Avoid freeze-thaw cycles.
Specificity :Mouse IgG1
BiowMW :54kDa
Note :For research use only, not for use in diagnostic procedure.
Alternative Name :Desmin
Immunogen :Purified recombinant fragment of Desmin expressed in E. Coli.
Conjugate :Unconjugated
Modification :Unmodification
Western blot analysis using Desmin mouse mAb against PC-12(1)NIH/3T3(2 )NRK(3)C2C12(4)C6(5) cell lysate.
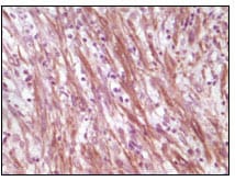
Immunohistochemical analysis of paraffin-embedded human smooth musde sarcoma, showing cytoplasmic localization using Desmin mouse mAb with DAB staining.

关注我们

400-660-9091

电话:18013895086

地址:江苏生命科技创新园F6幢1层

订购:nanjing03@biogot.com

服务:biorase01@biogot.com

合作:lvyun@biogot.com

支持:may@biogot.com