电话:18013895086
电话:025-68037686
地址:江苏生命科技创新园F6幢1层
订购:nanjing03@biogot.com
服务:biorase01@biogot.com
合作:lvyun@biogot.com
支持:may@biogot.com
电话:18013895086
电话:025-68037686
地址:江苏生命科技创新园F6幢1层
订购:nanjing03@biogot.com
服务:biorase01@biogot.com
合作:lvyun@biogot.com
支持:may@biogot.com



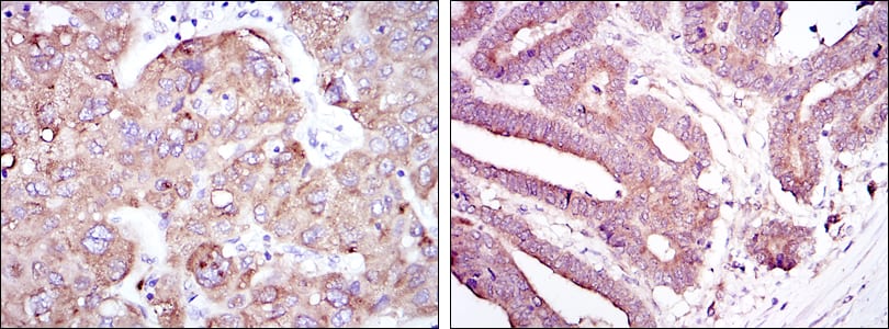
Cat No.:MB21457
Swiss-Prot:P10809
Host:Mouse
Reactivity:Human,Mouse,Rat,Monkey
Applications:WB,IHC,IF,FCM


Cat No.:MB21463
Swiss-Prot:P25098
Host:Mouse
Reactivity:Human,Mouse,Rat,Monkey
Applications:WB,IHC,IF

电话:18013895086
地址:江苏生命科技创新园F6幢1层