中国 EN 400-660-9091

联系我们

电话:18013895086

电话:025-68037686

地址:江苏生命科技创新园F6幢1层

订购:nanjing03@biogot.com

服务:biorase01@biogot.com

合作:lvyun@biogot.com

支持:may@biogot.com

GUCY1A3 monoclonal antibody

货号: MB23508
价格 1200
货期 现货(1-2个工作日)
25ug 50ug 100ug 200ug
No. :MB23508
Product Name :GUCY1A3 monoclonal antibody
Swiss-Prot :Q02108
Host :Mouse
Reactivity :Human
Applications :WB,IHC,IF,FCM
Application_all :WB:1/500 - 1/2000 IHC:1/200 - 1/1000 IF:1/200 - 1/1000 FC:1/200 - 1/400
Background :Soluble guanylate cyclases are heterodimeric proteins that catalyze the conversion of GTP to 3',5'-cyclic GMP and pyrophosphate. The protein encoded by this gene is an alpha subunit of this complex and it interacts with a beta subunit to form the guanylate cyclase enzyme, which is activated by nitric oxide. Several transcript variants encoding a few different isoforms have been found for this gene. <br /><br />
Product :Purified antibody in PBS with 0.05% sodium azide
Purification&Purity :The antibody was affinity-purified from mouse ascites by affinity-chromatography using epitope-specific immunogen and the purity is > 95% (by SDS-PAGE).
Storage&Stability :Store at 4°C short term. Aliquot and store at -20°C long term. Avoid freeze-thaw cycles.
Specificity :Mouse IgG1
BiowMW :77.5kDa
Note :For research use only, not for use in diagnostic procedure.
Alternative Name :GUCA3; GC-SA3; GUC1A3; GUCSA3; GUCY1A1
Immunogen :Purified recombinant fragment of human GUCY1A3 (AA: 22-214) expressed in E. Coli.
Conjugate :Unconjugated
Modification :Unmodification
1上架,0下架 :1
试用装: 1是,0否 :1
限时特惠: 1是,0否 :1
Western blot analysis using GUCY1A3 mouse mAb against HEK293 (1) and Raji (2) cell lysate.
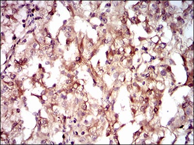
Immunohistochemical analysis of paraffin-embedded human renal cancer tissues using GUCY1A3 mouse mAb with DAB staining.
Immunofluorescence analysis of HepG2 cells using GUCY1A3 mouse mAb (green). Blue: DRAQ5 fluorescent DNA dye.
Flow cytometric analysis of HEK293 cells using GUCY1A3 mouse mAb (green) and negative control (purple).

关注我们

400-660-9091

电话:18013895086

地址:江苏生命科技创新园F6幢1层

订购:nanjing03@biogot.com

服务:biorase01@biogot.com

合作:lvyun@biogot.com

支持:may@biogot.com