中国 EN 400-660-9091

联系我们

电话:18013895086

电话:025-68037686

地址:江苏生命科技创新园F6幢1层

订购:nanjing03@biogot.com

服务:biorase01@biogot.com

合作:lvyun@biogot.com

支持:may@biogot.com

PDE1B monoclonal antibody

货号: MB23505
价格 1200
货期 现货(1-2个工作日)
25ug 50ug 100ug 200ug
No. :MB23505
Product Name :PDE1B monoclonal antibody
Swiss-Prot :Q01064
Host :Mouse
Reactivity :Human,Rat
Applications :WB,IHC,FCM
Application_all :IHC:1/200 - 1/1000 FC:1/200 - 1/400
Background :The protein encoded by this gene belongs to the cyclic nucleotide phosphodiesterase (PDE) family, and PDE1 subfamily. Members of the PDE1 family are calmodulin-dependent PDEs that are stimulated by a calcium-calmodulin complex. This PDE has dual-specificity for the second messengers, cAMP and cGMP, with a preference for cGMP as a substrate. cAMP and cGMP function as key regulators of many important physiological processes. Alternatively spliced transcript variants encoding different isoforms have been described for this gene. <br /><br />
Product :Purified antibody in PBS with 0.05% sodium azide
Purification&Purity :The antibody was affinity-purified from mouse ascites by affinity-chromatography using epitope-specific immunogen and the purity is > 95% (by SDS-PAGE).
Storage&Stability :Store at 4°C short term. Aliquot and store at -20°C long term. Avoid freeze-thaw cycles.
Specificity :Mouse IgG1
BiowMW :61.4kDa
Note :For research use only, not for use in diagnostic procedure.
Alternative Name :PDE1B1; PDES1B
Immunogen :Purified recombinant fragment of human PDE1B (AA: 370-536) expressed in E. Coli.
Conjugate :Unconjugated
Modification :Unmodification
1上架,0下架 :1
试用装: 1是,0否 :1
限时特惠: 1是,0否 :1
Western blot analysis using PDE1B mouse mAb against PC-12 (1) cell lysate.
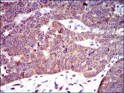
Immunohistochemical analysis of paraffin-embedded human ovarian cancer tissues using PDE1B mouse mAb with DAB staining.

关注我们

400-660-9091

电话:18013895086

地址:江苏生命科技创新园F6幢1层

订购:nanjing03@biogot.com

服务:biorase01@biogot.com

合作:lvyun@biogot.com

支持:may@biogot.com