中国 EN 400-660-9091

联系我们

电话:18013895086

电话:025-68037686

地址:江苏生命科技创新园F6幢1层

订购:nanjing03@biogot.com

服务:biorase01@biogot.com

合作:lvyun@biogot.com

支持:may@biogot.com

MRE11 monoclonal antibody

货号: MB23455
价格 1200
货期 现货(1-2个工作日)
25ug 50ug 100ug 200ug
No. :MB23455
Product Name :MRE11 monoclonal antibody
Swiss-Prot :P49959
Host :Mouse
Reactivity :Human, Mouse, Monkey, Rat
Applications :WB,IHC,FCM
Application_all :WB:1/500 - 1/2000 IHC:1/200 - 1/1000 FC:1/200 - 1/400
Background :This gene encodes a nuclear protein involved in homologous recombination, telomere length maintenance, and DNA double-strand break repair. By itself, the protein has 3' to 5' exonuclease activity and endonuclease activity. The protein forms a complex with the RAD50 homolog; this complex is required for nonhomologous joining of DNA ends and possesses increased single-stranded DNA endonuclease and 3' to 5' exonuclease activities. In conjunction with a DNA ligase, this protein promotes the joining of noncomplementary ends in vitro using short homologies near the ends of the DNA fragments. This gene has a pseudogene on chromosome 3. Alternative splicing of this gene results in two transcript variants encoding different isoforms.
Product :Purified antibody in PBS with 0.05% sodium azide
Purification&Purity :The antibody was affinity-purified from mouse ascites by affinity-chromatography using epitope-specific immunogen and the purity is > 95% (by SDS-PAGE).
Storage&Stability :Store at 4°C short term. Aliquot and store at -20°C long term. Avoid freeze-thaw cycles.
Specificity :Mouse IgG2b
BiowMW :80.6kDa
Note :For research use only, not for use in diagnostic procedure.
Alternative Name :ATLD; HNGS1; MRE11A; MRE11B
Immunogen :Purified recombinant fragment of human MRE11 (AA: 182-582) expressed in E. Coli.
Conjugate :Unconjugated
Modification :Unmodification
1上架,0下架 :1
试用装: 1是,0否 :1
限时特惠: 1是,0否 :1
Western blot analysis using MRE11 mouse mAb against Hela (1), A431 (2), MCF-7 (3), Jurkat (4), HepG2 (5), K562 (6), COS-7 (7), PC-12 (8) and NIH/3T3 (9) cell lysate.
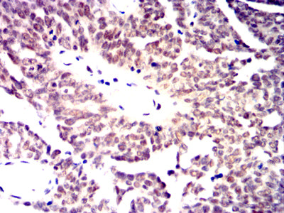
Immunohistochemical analysis of paraffin-embedded human ovarian cancer tissues using MRE11 mouse mAb with DAB staining.

关注我们

400-660-9091

电话:18013895086

地址:江苏生命科技创新园F6幢1层

订购:nanjing03@biogot.com

服务:biorase01@biogot.com

合作:lvyun@biogot.com

支持:may@biogot.com