中国 EN 400-660-9091

联系我们

电话:18013895086

电话:025-68037686

地址:江苏生命科技创新园F6幢1层

订购:nanjing03@biogot.com

服务:biorase01@biogot.com

合作:lvyun@biogot.com

支持:may@biogot.com

UCHL1 monoclonal antibody

货号: MB23406
价格 1200
货期 现货(1-2个工作日)
25ug 50ug 100ug 200ug
No. :MB23406
Product Name :UCHL1 monoclonal antibody
Swiss-Prot :P09936
Host :Mouse
Reactivity :Human, Mouse, Rat
Applications :WB,IHC,IF,FCM
Application_all :WB:1/500 - 1/2000 IHC:1/200 - 1/1000 IF:1/50 - 1/200 FC:1/200 - 1/400
Background :The protein encoded by this gene belongs to the peptidase C12 family. This enzyme is a thiol protease that hydrolyzes a peptide bond at the C-terminal glycine of ubiquitin. This gene is specifically expressed in the neurons and in cells of the diffuse neuroendocrine system. Mutations in this gene may be associated with Parkinson disease.
Product :Purified antibody in PBS with 0.05% sodium azide
Purification&Purity :The antibody was affinity-purified from mouse ascites by affinity-chromatography using epitope-specific immunogen and the purity is > 95% (by SDS-PAGE).
Storage&Stability :Store at 4°C short term. Aliquot and store at -20°C long term. Avoid freeze-thaw cycles.
Specificity :Mouse IgG2b
BiowMW :24.8kDa
Note :For research use only, not for use in diagnostic procedure.
Alternative Name :NDGOA; PARK5; PGP95; SPG79; PGP9.5; Uch-L1; HEL-117; PGP 9.5; HEL-S-53
Immunogen :Purified recombinant fragment of human UCHL1 (AA: 1-220) expressed in E. Coli.
Conjugate :Unconjugated
Modification :Unmodification
1上架,0下架 :1
试用装: 1是,0否 :1
限时特惠: 1是,0否 :1
Western blot analysis using UCHL1 mouse mAb against mouse brain (1), and rat brain (2) cell lysate.
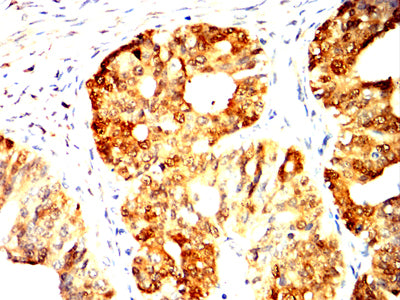
Immunohistochemical analysis of paraffin-embedded human ovarian cancer tissues using UCHL1 mouse mAb with DAB staining.
Immunofluorescence analysis of Hela cells using UCHL1 mouse mAb (green). Blue: DRAQ5 fluorescent DNA dye. Red: Actin filaments have been labeled with Alexa Fluor- 555 phalloidin. Secondary antibody from Fisher (Cat#: 35503)
Flow cytometric analysis of Hek293 cells using UCHL1 mouse mAb (green) and negative control (red).

关注我们

400-660-9091

电话:18013895086

地址:江苏生命科技创新园F6幢1层

订购:nanjing03@biogot.com

服务:biorase01@biogot.com

合作:lvyun@biogot.com

支持:may@biogot.com