中国 EN 400-660-9091

联系我们

电话:18013895086

电话:025-68037686

地址:江苏生命科技创新园F6幢1层

订购:nanjing03@biogot.com

服务:biorase01@biogot.com

合作:lvyun@biogot.com

支持:may@biogot.com

SLC7A3 monoclonal antibody

货号: MB23378
价格 1200
货期 现货(1-2个工作日)
25ug 50ug 100ug 200ug
No. :MB23378
Product Name :SLC7A3 monoclonal antibody
Swiss-Prot :Q8WY07
Host :Mouse
Reactivity :Human, Mouse, Rat
Applications :WB,IHC,FCM
Application_all :WB:1/500 - 1/2000 IHC:1/200 - 1/1000 FC:1/200 - 1/400
Background :This gene encodes a member of the solute carrier family 7. The encoded protein is a sodium-independent cationic amino acid transporter. Alternate splicing results in multiple transcripts that encoded the same protein.
Product :Purified antibody in PBS with 0.05% sodium azide
Purification&Purity :The antibody was affinity-purified from mouse ascites by affinity-chromatography using epitope-specific immunogen and the purity is > 95% (by SDS-PAGE).
Storage&Stability :Store at 4°C short term. Aliquot and store at -20°C long term. Avoid freeze-thaw cycles.
Specificity :Mouse IgG1
BiowMW :67.1kDa
Note :For research use only, not for use in diagnostic procedure.
Alternative Name :CAT3; ATRC3; CAT-3
Immunogen :Purified recombinant fragment of human SLC7A3 (AA: extra mix) expressed in E. Coli.
Conjugate :Unconjugated
Modification :Unmodification
1上架,0下架 :1
试用装: 1是,0否 :1
限时特惠: 1是,0否 :1
Western blot analysis using SLC7A3 mouse mAb against Mouse Lung (1) and Rat Lung (2) tissue lysate.
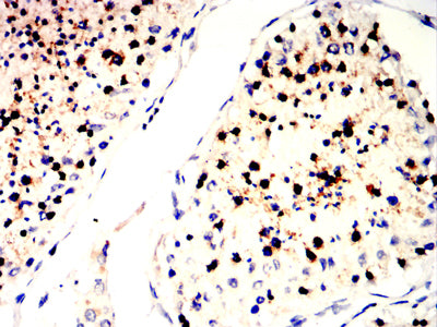
Immunohistochemical analysis of paraffin-embedded human testis tissues using SLC7A3 mouse mAb with DAB staining.

关注我们

400-660-9091

电话:18013895086

地址:江苏生命科技创新园F6幢1层

订购:nanjing03@biogot.com

服务:biorase01@biogot.com

合作:lvyun@biogot.com

支持:may@biogot.com