中国 EN 400-660-9091

联系我们

电话:18013895086

电话:025-68037686

地址:江苏生命科技创新园F6幢1层

订购:nanjing03@biogot.com

服务:biorase01@biogot.com

合作:lvyun@biogot.com

支持:may@biogot.com

TRBC1 monoclonal antibody

货号: MB23276
价格 1200
货期 现货(1-2个工作日)
25ug 50ug 100ug 200ug
No. :MB23276
Product Name :TRBC1 monoclonal antibody
Swiss-Prot :P01850
Host :Mouse
Reactivity :Human, Rat
Applications :WB,IHC,IF,FCM
Application_all :WB:1/500 - 1/2000 IHC:1/200 - 1/1000 IF:1/100 - 1/500 FC:1/200 - 1/400
Background :TRBC1 (T Cell Receptor Beta Constant 1) is a Protein Coding gene. Among its related pathways are Translocation of ZAP-70 to Immunological synapse and Innate Immune System. An important paralog of this gene is TRBC2.</p>
Product :Purified antibody in PBS with 0.05% sodium azide
Purification&Purity :The antibody was affinity-purified from mouse ascites by affinity-chromatography using epitope-specific immunogen and the purity is > 95% (by SDS-PAGE).
Storage&Stability :Store at 4°C short term. Aliquot and store at -20°C long term. Avoid freeze-thaw cycles.
Specificity :Mouse IgG1
BiowMW :19.7kDa
Note :For research use only, not for use in diagnostic procedure.
Alternative Name :TCRB; TCRBC1; BV05S1J2.2
Immunogen :Purified recombinant fragment of human TRBC1 (AA: 1-149) expressed in E. Coli.
Conjugate :Unconjugated
Modification :Unmodification
1上架,0下架 :1
试用装: 1是,0否 :1
限时特惠: 1是,0否 :1
Western blot analysis using TRBC1 mouse mAb against HUVEC (1), Jurkat (2), Hela (3), HUVE-12 (4), A549 (5), C6 (6), Raji (7), and T47D (8) cell lysate.
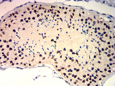
Immunohistochemical analysis of paraffin-embedded human testis tissues using TRBC1 mouse mAb with DAB staining.
Immunofluorescence analysis of Hela cells using TRBC1 mouse mAb (green). Blue: DRAQ5 fluorescent DNA dye. Red: Actin filaments have been labeled with Alexa Fluor- 555 phalloidin. Secondary antibody from Fisher (Cat#: 35503)
Flow cytometric analysis of Jurkat cells using TRBC1 mouse mAb (green) and negative control (red).

关注我们

400-660-9091

电话:18013895086

地址:江苏生命科技创新园F6幢1层

订购:nanjing03@biogot.com

服务:biorase01@biogot.com

合作:lvyun@biogot.com

支持:may@biogot.com