中国 EN 400-660-9091

联系我们

电话:18013895086

电话:025-68037686

地址:江苏生命科技创新园F6幢1层

订购:nanjing03@biogot.com

服务:biorase01@biogot.com

合作:lvyun@biogot.com

支持:may@biogot.com

HDAC1 monoclonal antibody

货号: MB23132
价格 1200
货期 现货(1-2个工作日)
25ug 50ug 100ug 200ug
No. :MB23132
Product Name :HDAC1 monoclonal antibody
Swiss-Prot :Q13547
Host :Mouse
Reactivity :Human, Mouse
Applications :WB,IHC,IF,FCM
Application_all :WB:1/500 - 1/2000 IHC:1/200 - 1/1000 IF:1/200 - 1/1000 FC:1/200 - 1/400
Background :Histone acetylation and deacetylation, catalyzed by multisubunit complexes, play a key role in the regulation of eukaryotic gene expression. The protein encoded by this gene belongs to the histone deacetylase/acuc/apha family and is a component of the histone deacetylase complex. It also interacts with retinoblastoma tumor-suppressor protein and this complex is a key element in the control of cell proliferation and differentiation. Together with metastasis-associated protein-2, it deacetylates p53 and modulates its effect on cell growth and apoptosis.</p>
Product :Purified antibody in PBS with 0.05% sodium azide
Purification&Purity :The antibody was affinity-purified from mouse ascites by affinity-chromatography using epitope-specific immunogen and the purity is > 95% (by SDS-PAGE).
Storage&Stability :Store at 4°C short term. Aliquot and store at -20°C long term. Avoid freeze-thaw cycles.
Specificity :Mouse IgG1
BiowMW :55.1kDa
Note :For research use only, not for use in diagnostic procedure.
Alternative Name :HD1; RPD3; KDAC1; GON-10; RPD3L1
Immunogen :Purified recombinant fragment of human HDAC1 (AA: 321-482) expressed in E. Coli.
Conjugate :Unconjugated
Modification :Unmodification
1上架,0下架 :1
试用装: 1是,0否 :1
限时特惠: 1是,0否 :1
Western blot analysis using HDAC1 mouse mAb against Hela (1), Raw264.7 (2), K562 (3), and Jurkat (4) cell lysate.
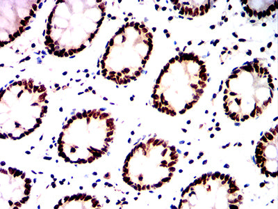
Immunohistochemical analysis of paraffin-embedded human colon tissues using HDAC1 mouse mAb with DAB staining.
Immunofluorescence analysis of Hela cells using HDAC1 mouse mAb (green). Secondary antibody from Fisher (Cat#: 35503)
Flow cytometric analysis of Hela cells using HDAC1 mouse mAb (green) and negative control (red).

关注我们

400-660-9091

电话:18013895086

地址:江苏生命科技创新园F6幢1层

订购:nanjing03@biogot.com

服务:biorase01@biogot.com

合作:lvyun@biogot.com

支持:may@biogot.com