中国 EN 400-660-9091

联系我们

电话:18013895086

电话:025-68037686

地址:江苏生命科技创新园F6幢1层

订购:nanjing03@biogot.com

服务:biorase01@biogot.com

合作:lvyun@biogot.com

支持:may@biogot.com

CD258 monoclonal antibody

货号: MB23119
价格 1200
货期 现货(1-2个工作日)
25ug 50ug 100ug 200ug
No. :MB23119
Product Name :CD258 monoclonal antibody
Swiss-Prot :O43557
Host :Mouse
Reactivity :Human, Mouse
Applications :WB,IHC,FCM
Application_all :WB:1/500 - 1/2000 IHC:1/200 - 1/1000 FC:1/200 - 1/400
Background :The protein encoded by this gene is a member of the tumor necrosis factor (TNF) ligand family. This protein is a ligand for TNFRSF14, which is a member of the tumor necrosis factor receptor superfamily, and which is also known as a herpesvirus entry mediator (HVEM). This protein may function as a costimulatory factor for the activation of lymphoid cells and as a deterrent to infection by herpesvirus. This protein has been shown to stimulate the proliferation of T cells, and trigger apoptosis of various tumor cells. This protein is also reported to prevent tumor necrosis factor alpha mediated apoptosis in primary hepatocyte. Two alternatively spliced transcript variant encoding distinct isoforms have been reported.</p>
Product :Purified antibody in PBS with 0.05% sodium azide
Purification&Purity :The antibody was affinity-purified from mouse ascites by affinity-chromatography using epitope-specific immunogen and the purity is > 95% (by SDS-PAGE).
Storage&Stability :Store at 4°C short term. Aliquot and store at -20°C long term. Avoid freeze-thaw cycles.
Specificity :Mouse IgG2b
BiowMW :26.4kDa
Note :For research use only, not for use in diagnostic procedure.
Alternative Name :TNFSF14; LTg; HVEML; LIGHT
Immunogen :Purified recombinant fragment of human CD258 (AA: extra 59-240) expressed in E. Coli.
Conjugate :Unconjugated
Modification :Unmodification
1上架,0下架 :1
试用装: 1是,0否 :1
限时特惠: 1是,0否 :1
Western blot analysis using CD258 mouse mAb against Raji (1), L-02 (2), A549 (3), Hela (4)cell lysate, and mouse heart (5) tissues lysate.
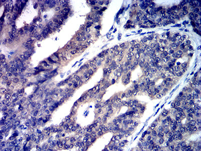
Immunohistochemical analysis of paraffin-embedded human ovarian cancer tissues using CD258 mouse mAb with DAB staining.

关注我们

400-660-9091

电话:18013895086

地址:江苏生命科技创新园F6幢1层

订购:nanjing03@biogot.com

服务:biorase01@biogot.com

合作:lvyun@biogot.com

支持:may@biogot.com