中国 EN 400-660-9091

联系我们

电话:18013895086

电话:025-68037686

地址:江苏生命科技创新园F6幢1层

订购:nanjing03@biogot.com

服务:biorase01@biogot.com

合作:lvyun@biogot.com

支持:may@biogot.com

siglec15 monoclonal antibody

货号: MB23079
价格 1200
货期 现货(1-2个工作日)
25ug 50ug 100ug 200ug
No. :MB23079
Product Name :siglec15 monoclonal antibody
Swiss-Prot :Q6ZMC9
Host :Mouse
Reactivity :Human, Monkey
Applications :WB,IHC,IF,FCM
Application_all :WB:1/500 - 1/2000 IHC:1/200 - 1/1000 IF:1/200 - 1/1000 FC:1/200 - 1/400
Background :SIGLEC15 (Sialic Acid Binding Ig Like Lectin 15) is a Protein Coding gene. Diseases associated with SIGLEC15 include Osteoporosis, Juvenile and Osteoporosis. Among its related pathways are Innate Immune System and RET signaling. An important paralog of this gene is SIGLEC1.</p>
Product :Purified antibody in PBS with 0.05% sodium azide
Purification&Purity :The antibody was affinity-purified from mouse ascites by affinity-chromatography using epitope-specific immunogen and the purity is > 95% (by SDS-PAGE).
Storage&Stability :Store at 4°C short term. Aliquot and store at -20°C long term. Avoid freeze-thaw cycles.
Specificity :Mouse IgG1
BiowMW :35.7kDa
Note :For research use only, not for use in diagnostic procedure.
Alternative Name :CD33L3; HsT1361; SIGLEC-15
Immunogen :Purified recombinant fragment of human Siglec15 (AA: Extra(20-263)) expressed in Mammal.
Conjugate :Unconjugated
Modification :Unmodification
1上架,0下架 :1
试用装: 1是,0否 :1
限时特惠: 1是,0否 :1
Western blot analysis using Siglec15 mouse mAb against PC-2 (1), LNCap (2), HEK293 (3), PC-3 (4), DU145 (5), COS-7 (6), and HEK293-6e (7) cell lysate.
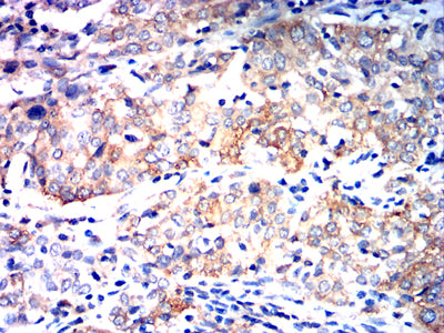
Immunohistochemical analysis of paraffin-embedded human cervical cancer tissues using Siglec15 mouse mAb with DAB staining.
Immunofluorescence analysis of Hela cells using Siglec15 mouse mAb (green). Blue: DRAQ5 fluorescent DNA dye. Red: Actin filaments have been labeled with Alexa Fluor- 555 phalloidin. Secondary antibody from Fisher (Cat#: 35503)
Flow cytometric analysis of Jurkat cells using Siglec15 mouse mAb (green) and negative control (red).

关注我们

400-660-9091

电话:18013895086

地址:江苏生命科技创新园F6幢1层

订购:nanjing03@biogot.com

服务:biorase01@biogot.com

合作:lvyun@biogot.com

支持:may@biogot.com