中国 EN 400-660-9091

联系我们

电话:18013895086

电话:025-68037686

地址:江苏生命科技创新园F6幢1层

订购:nanjing03@biogot.com

服务:biorase01@biogot.com

合作:lvyun@biogot.com

支持:may@biogot.com

PGR monoclonal antibody

货号: MB23002
价格 1200
货期 现货(1-2个工作日)
25ug 50ug 100ug 200ug
No. :MB23002
Product Name :PGR monoclonal antibody
Swiss-Prot :P06401
Host :Mouse
Reactivity :Human, Mouse
Applications :WB,IHC,FCM
Application_all :WB:1/500 - 1/2000 IHC:1/200-1/1000 FC:1/200-1/400
Background :This gene encodes a member of the steroid receptor superfamily. The encoded protein mediates the physiological effects of progesterone, which plays a central role in reproductive events associated with the establishment and maintenance of pregnancy. This gene uses two distinct promotors and translation start sites in the first exon to produce several transcript variants, both protein coding and non-protein coding. Two of the isoforms (A and B) are identical except for an additional 165 amino acids found in the N-terminus of isoform B and mediate their own response genes and physiologic effects with little overlap. [provided by RefSeq, Sep 2015]</p>
Product :Purified antibody in PBS with 0.05% sodium azide
Purification&Purity :The antibody was affinity-purified from mouse ascites by affinity-chromatography using epitope-specific immunogen and the purity is > 95% (by SDS-PAGE).
Storage&Stability :Store at 4°C short term. Aliquot and store at -20°C long term. Avoid freeze-thaw cycles.
Specificity :Mouse IgG1
BiowMW :99kDa
Note :For research use only, not for use in diagnostic procedure.
Alternative Name :PR; NR3C3
Immunogen :Purified recombinant fragment of human PGR (AA: 166-411) expressed in E. Coli.
Conjugate :Unconjugated
Modification :Unmodification
1上架,0下架 :1
试用装: 1是,0否 :1
限时特惠: 1是,0否 :1
Western blot analysis using PGR mouse mAb against T47D (1), and C2C12 (2) cell lysate.
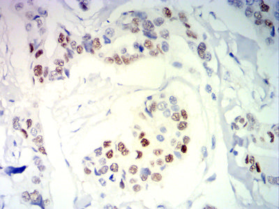
Immunohistochemical analysis of paraffin-embedded human breast cancer tissues using PGR mouse mAb with DAB staining.

关注我们

400-660-9091

电话:18013895086

地址:江苏生命科技创新园F6幢1层

订购:nanjing03@biogot.com

服务:biorase01@biogot.com

合作:lvyun@biogot.com

支持:may@biogot.com