中国 EN 400-660-9091

联系我们

电话:18013895086

电话:025-68037686

地址:江苏生命科技创新园F6幢1层

订购:nanjing03@biogot.com

服务:biorase01@biogot.com

合作:lvyun@biogot.com

支持:may@biogot.com

ALB monoclonal antibody

货号: MB22961
价格 1200
货期 现货(1-2个工作日)
25ug 50ug 100ug 200ug
No. :MB22961
Product Name :ALB monoclonal antibody
Swiss-Prot :P02768
Host :Mouse
Reactivity :Human, Monkey
Applications :WB,IHC,IF,FCM
Application_all :IHC:1/200-1/1000 IF:1/200 - 1/1000 FC:1/200-1/400
Background :This gene encodes the most abundant protein in human blood. This protein functions in the regulation of blood plasma colloid osmotic pressure and acts as a carrier protein for a wide range of endogenous molecules including hormones, fatty acids, and metabolites, as well as exogenous drugs. Additionally, this protein exhibits an esterase-like activity with broad substrate specificity. The encoded preproprotein is proteolytically processed to generate the mature protein. A peptide derived from this protein, EPI-X4, is an endogenous inhibitor of the CXCR4 chemokine receptor. [provided by RefSeq, Jul 2016]</p>
Product :Purified antibody in PBS with 0.05% sodium azide
Purification&Purity :The antibody was affinity-purified from mouse ascites by affinity-chromatography using epitope-specific immunogen and the purity is > 95% (by SDS-PAGE).
Storage&Stability :Store at 4°C short term. Aliquot and store at -20°C long term. Avoid freeze-thaw cycles.
Specificity :Mouse IgG2b
BiowMW :69.4kDa
Note :For research use only, not for use in diagnostic procedure.
Alternative Name :HSA; PRO0883; PRO0903; PRO1341
Immunogen :Purified recombinant fragment of human ALB (AA: 410-609) expressed in E. Coli.
Conjugate :Unconjugated
Modification :Unmodification
1上架,0下架 :1
试用装: 1是,0否 :1
限时特惠: 1是,0否 :1
Western blot analysis using ALB mouse mAb against COS-7 (1), HepG2 (2),serum (3),Liver (4),BEL-7402 (5), and HL7702 (6) cell lysate.
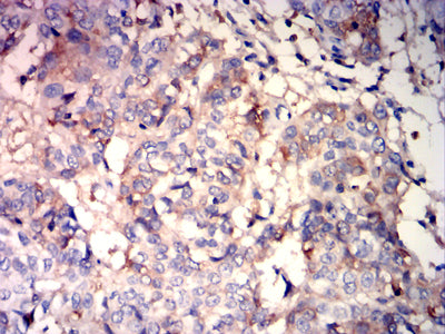
Immunohistochemical analysis of paraffin-embedded human bladder cancer tissues using ALB mouse mAb with DAB staining.
Immunofluorescence analysis of Hela cells using ALB mouse mAb (green). Blue: DRAQ5 fluorescent DNA dye. Red: Actin filaments have been labeled with Alexa Fluor- 555 phalloidin. Secondary antibody from Fisher (Cat#: 35503)
Flow cytometric analysis of HepG2 cells using ALB mouse mAb (green) and negative control (red).

关注我们

400-660-9091

电话:18013895086

地址:江苏生命科技创新园F6幢1层

订购:nanjing03@biogot.com

服务:biorase01@biogot.com

合作:lvyun@biogot.com

支持:may@biogot.com