中国 EN 400-660-9091

联系我们

电话:18013895086

电话:025-68037686

地址:江苏生命科技创新园F6幢1层

订购:nanjing03@biogot.com

服务:biorase01@biogot.com

合作:lvyun@biogot.com

支持:may@biogot.com

GSTP1 monoclonal antibody

货号: MB22936
价格 1200
货期 现货(1-2个工作日)
25ug 50ug 100ug 200ug
No. :MB22936
Product Name :GSTP1 monoclonal antibody
Swiss-Prot :P09211
Host :Mouse
Reactivity :Human
Applications :WB,IHC,IF,FCM
Application_all :WB:1/500 - 1/2000 IHC:1/200-1/1000 IF:1/200 - 1/1000 FC:1/200-1/400
Background :Glutathione S-transferases (GSTs) are a family of enzymes that play an important role in detoxification by catalyzing the conjugation of many hydrophobic and electrophilic compounds with reduced glutathione. Based on their biochemical, immunologic, and structural properties, the soluble GSTs are categorized into 4 main classes: alpha, mu, pi, and theta. This GST family member is a polymorphic gene encoding active, functionally different GSTP1 variant proteins that are thought to function in xenobiotic metabolism and play a role in susceptibility to cancer, and other diseases.</p>
Product :Purified antibody in PBS with 0.05% sodium azide
Purification&Purity :The antibody was affinity-purified from mouse ascites by affinity-chromatography using epitope-specific immunogen and the purity is > 95% (by SDS-PAGE).
Storage&Stability :Store at 4°C short term. Aliquot and store at -20°C long term. Avoid freeze-thaw cycles.
Specificity :Mouse IgG1
BiowMW :23kDa
Note :For research use only, not for use in diagnostic procedure.
Alternative Name :PI; DFN7; GST3; GSTP; FAEES3; HEL-S-22
Immunogen :Purified recombinant fragment of human GSTP1 (AA: 2-210) expressed in E. Coli.
Conjugate :Unconjugated
Modification :Unmodification
1上架,0下架 :1
试用装: 1是,0否 :1
限时特惠: 1是,0否 :1
Western blot analysis using GSTP1 mouse mAb against PC-3 (1), K562 (2), Hela (3),Jurkat (4), MOLT-4 (5), HCT116 (6), and A431 (7) cell lysate.
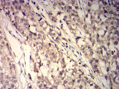
Immunohistochemical analysis of paraffin-embedded human cervical cancer tissues using GSTP1 mouse mAb with DAB staining.
Immunofluorescence analysis of Hela cells using GSTP1 mouse mAb (green). Blue: DRAQ5 fluorescent DNA dye. Red: Actin filaments have been labeled with Alexa Fluor- 555 phalloidin. Secondary antibody from Fisher (Cat#: 35503)
Flow cytometric analysis of Hela cells using GSTP1 mouse mAb (green) and negative control (red).

关注我们

400-660-9091

电话:18013895086

地址:江苏生命科技创新园F6幢1层

订购:nanjing03@biogot.com

服务:biorase01@biogot.com

合作:lvyun@biogot.com

支持:may@biogot.com