中国 EN 400-660-9091

联系我们

电话:18013895086

电话:025-68037686

地址:江苏生命科技创新园F6幢1层

订购:nanjing03@biogot.com

服务:biorase01@biogot.com

合作:lvyun@biogot.com

支持:may@biogot.com

CYCS monoclonal antibody

货号: MB22798
价格 1200
货期 现货(1-2个工作日)
25ug 50ug 100ug 200ug
No. :MB22798
Product Name :CYCS monoclonal antibody
Swiss-Prot :P99999
Host :Mouse
Reactivity :Human,Mouse
Applications :WB,IHC,FCM
Application_all :WB:1/500 - 1/2000 IHC:1/200 - 1/1000 FC:1/200 - 1/400
Background :This gene encodes a small heme protein that functions as a central component of the electron transport chain in mitochondria. The encoded protein associates with the inner membrane of the mitochondrion where it accepts electrons from cytochrome b and transfers them to the cytochrome oxidase complex. This protein is also involved in initiation of apoptosis. Mutations in this gene are associated with autosomal dominant nonsyndromic thrombocytopenia. Numerous processed pseudogenes of this gene are found throughout the human genome.</p>
Product :Purified antibody in PBS with 0.05% sodium azide
Purification&Purity :The antibody was affinity-purified from mouse ascites by affinity-chromatography using epitope-specific immunogen and the purity is > 95% (by SDS-PAGE).
Storage&Stability :Store at 4°C short term. Aliquot and store at -20°C long term. Avoid freeze-thaw cycles.
Specificity :Mouse IgG1
BiowMW :11.7kDa
Note :For research use only, not for use in diagnostic procedure.
Alternative Name :CYC; HCS; THC4
Immunogen :Purified recombinant fragment of human CYCS (AA: 1-105) expressed in E. Coli.
Conjugate :Unconjugated
Modification :Unmodification
1上架,0下架 :1
试用装: 1是,0否 :1
限时特惠: 1是,0否 :1
Western blot analysis using CYCS mouse mAb against Hela (1), Jurkat (2), RAW264.7 (3), NIH/3T3 (4), HL-60 (5), K562 (6), HepG2 (7), and MCF-7 (8) cell lysate.
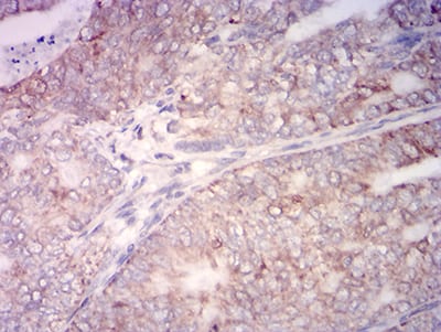
Immunohistochemical analysis of paraffin-embedded human cervical cancer tissues using CYCS mouse mAb with DAB staining.

关注我们

400-660-9091

电话:18013895086

地址:江苏生命科技创新园F6幢1层

订购:nanjing03@biogot.com

服务:biorase01@biogot.com

合作:lvyun@biogot.com

支持:may@biogot.com