中国 EN 400-660-9091

联系我们

电话:18013895086

电话:025-68037686

地址:江苏生命科技创新园F6幢1层

订购:nanjing03@biogot.com

服务:biorase01@biogot.com

合作:lvyun@biogot.com

支持:may@biogot.com

ACTR3 monoclonal antibody

货号: MB22492
价格 1200
货期 现货(1-2个工作日)
25ug 50ug 100ug 200ug
No. :MB22492
Product Name :ACTR3 monoclonal antibody
Swiss-Prot :P61158
Host :Mouse
Reactivity :Human,Mouse
Applications :WB,IHC,FCM
Application_all :WB:1/500 - 1/2000 IHC:1/200 - 1/1000 FC:1/200 - 1/400
Background :The specific function of this gene has not yet been determined; however, the protein it encodes is known to be a major constituent of the ARP2/3 complex. This complex is located at the cell surface and is essential to cell shape and motility through lamellipodial actin assembly and protrusion. Three transcript variants encoding two different isoforms have been found for this gene.<br />
Product :Purified antibody in PBS with 0.05% sodium azide
Purification&Purity :The antibody was affinity-purified from mouse ascites by affinity-chromatography using epitope-specific immunogen and the purity is > 95% (by SDS-PAGE).
Storage&Stability :Store at 4°C short term. Aliquot and store at -20°C long term. Avoid freeze-thaw cycles.
Specificity :Mouse IgG1
BiowMW :47.4kDa
Note :For research use only, not for use in diagnostic procedure.
Alternative Name :ARP3
Immunogen :Purified recombinant fragment of human ACTR3 (AA: 287-418) expressed in E. Coli.
Conjugate :Unconjugated
Modification :Unmodification
1上架,0下架 :1
试用装: 1是,0否 :1
限时特惠: 1是,0否 :1
Western blot analysis using ACTR3 mouse mAb against NIH/3T3 (1) and A549 (2) cell lysate.
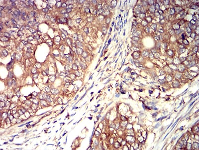
Immunohistochemical analysis of paraffin-embedded human cervical cancer tissues using ACTR3 mouse mAb with DAB staining.

关注我们

400-660-9091

电话:18013895086

地址:江苏生命科技创新园F6幢1层

订购:nanjing03@biogot.com

服务:biorase01@biogot.com

合作:lvyun@biogot.com

支持:may@biogot.com