中国 EN 400-660-9091

联系我们

电话:18013895086

电话:025-68037686

地址:江苏生命科技创新园F6幢1层

订购:nanjing03@biogot.com

服务:biorase01@biogot.com

合作:lvyun@biogot.com

支持:may@biogot.com

PRKAA2 monoclonal antibody

货号: MB22314
价格 1200
货期 现货(1-2个工作日)
25ug 50ug 100ug 200ug
No. :MB22314
Product Name :PRKAA2 monoclonal antibody
Swiss-Prot :P54646
Host :Mouse
Reactivity :Human,Mouse,Rat,Monkey,Rabbit
Applications :WB,IHC,IF,FCM
Application_all :WB:1/500 - 1/2000 IHC:1/100 - 1/500 IF:1/50 - 1/500 FC:1/200 - 1/400
Background :The protein encoded by this gene is a catalytic subunit of the AMP-activated protein kinase (AMPK). AMPK is a heterotrimer consisting of an alpha catalytic subunit, and non-catalytic beta and gamma subunits. AMPK is an important energy-sensing enzyme that monitors cellular energy status. In response to cellular metabolic stresses, AMPK is activated, and thus phosphorylates and inactivates acetyl-CoA carboxylase (ACC) and beta-hydroxy beta-methylglutaryl-CoA reductase (HMGCR), key enzymes involved in regulating de novo biosynthesis of fatty acid and cholesterol. Studies of the mouse counterpart suggest that this catalytic subunit may control whole-body insulin sensitivity and is necessary for maintaining myocardial energy homeostasis during ischemia.<br />
Product :Purified antibody in PBS with 0.05% sodium azide
Purification&Purity :The antibody was affinity-purified from mouse ascites by affinity-chromatography using epitope-specific immunogen and the purity is > 95% (by SDS-PAGE).
Storage&Stability :Store at 4°C short term. Aliquot and store at -20°C long term. Avoid freeze-thaw cycles.
Specificity :Mouse IgG1
BiowMW :62.3kDa
Note :For research use only, not for use in diagnostic procedure.
Alternative Name :AMPK; AMPK2; PRKAA; AMPKa2
Immunogen :Purified recombinant fragment of human PRKAA2 (AA: 453-552) expressed in E. Coli.
Conjugate :Unconjugated
Modification :Unmodification
1上架,0下架 :1
试用装: 1是,0否 :1
限时特惠: 1是,0否 :1
Western blot analysis using PRKAA2 mouse mAb against HEK293 (1) and COS7 (2) cell lysate.
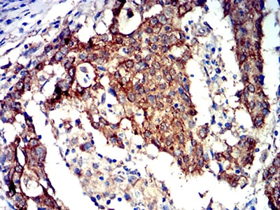
Immunohistochemical analysis of paraffin-embedded human stomach cancer tissues using PRKAA2 mouse mAb with DAB staining.
Immunofluorescence analysis of NIH/3T3 cells using PRKAA2 mouse mAb (green). Blue: DRAQ5 fluorescent DNA dye. Red: Actin filaments have been labeled with Alexa Fluor- 555 phalloidin.
Flow cytometric analysis of Jurkat cells using PRKAA2 mouse mAb (green) and negative control (red).

关注我们

400-660-9091

电话:18013895086

地址:江苏生命科技创新园F6幢1层

订购:nanjing03@biogot.com

服务:biorase01@biogot.com

合作:lvyun@biogot.com

支持:may@biogot.com