中国 EN 400-660-9091

联系我们

电话:18013895086

电话:025-68037686

地址:江苏生命科技创新园F6幢1层

订购:nanjing03@biogot.com

服务:biorase01@biogot.com

合作:lvyun@biogot.com

支持:may@biogot.com

Rab6b monoclonal antibody

货号: MB22160
价格 1200
货期 现货(1-2个工作日)
25ug 50ug 100ug 200ug
No. :MB22160
Product Name :Rab6b monoclonal antibody
Swiss-Prot :Q9NRW1
Host :Mouse
Reactivity :Human,Rat
Applications :WB,IHC
Application_all :WB:1/500 - 1/2000 IHC:1/200 - 1/1000
Background :RAB6B (RAB6B, Member RAS Oncogene Family) is a Protein Coding gene. Among its related pathways are Sertoli-Sertoli Cell Junction Dynamics. GO annotations related to this gene include GTP binding and GTPase activity. An important paralog of this gene is RAB41.<br />
Product :Purified antibody in PBS with 0.05% sodium azide
Purification&Purity :The antibody was affinity-purified from mouse ascites by affinity-chromatography using epitope-specific immunogen and the purity is > 95% (by SDS-PAGE).
Storage&Stability :Store at 4°C short term. Aliquot and store at -20°C long term. Avoid freeze-thaw cycles.
Specificity :Mouse IgG1
BiowMW :23.5kDa
Note :For research use only, not for use in diagnostic procedure.
Immunogen :Purified recombinant fragment of human Rab6b (AA: 95-208) expressed in E. Coli.
Conjugate :Unconjugated
Modification :Unmodification
1上架,0下架 :1
试用装: 1是,0否 :1
限时特惠: 1是,0否 :1
Western blot analysis using Rab6b mouse mAb against C6 (1), SK-N-SH (2), HT-29 (3), PC-12 (4), and C6 (5) cell lysate.
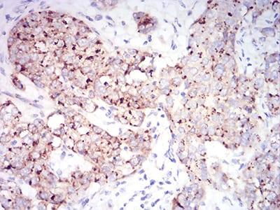
Immunohistochemical analysis of paraffin-embedded human bladder cancer tissues using Rab6b mouse mAb with DAB staining.

关注我们

400-660-9091

电话:18013895086

地址:江苏生命科技创新园F6幢1层

订购:nanjing03@biogot.com

服务:biorase01@biogot.com

合作:lvyun@biogot.com

支持:may@biogot.com