中国 EN 400-660-9091

联系我们

电话:18013895086

电话:025-68037686

地址:江苏生命科技创新园F6幢1层

订购:nanjing03@biogot.com

服务:biorase01@biogot.com

合作:lvyun@biogot.com

支持:may@biogot.com

CBX2 monoclonal antibody

货号: MB22038
价格 1200
货期 现货(1-2个工作日)
25ug 50ug 100ug 200ug
No. :MB22038
Product Name :CBX2 monoclonal antibody
Swiss-Prot :Q14781
Host :Mouse
Reactivity :Human,Mouse,Rat,Rabbit,Monkey
Applications :WB,IHC,IF,FCM
Application_all :WB:1/500 - 1/2000 IHC:1/200 - 1/1000 IF:1/200 - 1/1000 FC:1/200 - 1/400
Background :This gene encodes a component of the polycomb multiprotein complex, which is required to maintain the transcriptionally repressive state of many genes throughout development via chromatin remodeling and modification of histones. Disruption of this gene in mice results in male-to-female gonadal sex reversal. Mutations in this gene are also associated with gonadal dysgenesis in humans. Alternatively spliced transcript variants encoding different isoforms have been noted for this gene.<br />
Product :Purified antibody in PBS with 0.05% sodium azide
Purification&Purity :The antibody was affinity-purified from mouse ascites by affinity-chromatography using epitope-specific immunogen and the purity is > 95% (by SDS-PAGE).
Storage&Stability :Store at 4°C short term. Aliquot and store at -20°C long term. Avoid freeze-thaw cycles.
Specificity :Mouse IgG1
BiowMW :56kDa
Note :For research use only, not for use in diagnostic procedure.
Alternative Name :M33; CDCA6; SRXY5
Immunogen :Purified recombinant fragment of human CBX2 (AA: 402-525) expressed in E. Coli.
Conjugate :Unconjugated
Modification :Unmodification
1上架,0下架 :1
试用装: 1是,0否 :1
限时特惠: 1是,0否 :1
Western blot analysis using CBX2 mouse mAb against HUVEC (1), HEK293 (2), Hela (3), NIH/3T3 (4), and A431 (5) cell lysate.
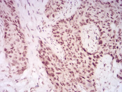
Immunohistochemical analysis of paraffin-embedded human cervical cancer tissues using CBX2 mouse mAb with DAB staining.
Immunofluorescence analysis of MCF-7 cells using CBX2 mouse mAb (green). Blue: DRAQ5 fluorescent DNA dye. Red: Actin filaments have been labeled with Alexa Fluor- 555 phalloidin. Secondary antibody from Fisher (Cat#: 35503)

关注我们

400-660-9091

电话:18013895086

地址:江苏生命科技创新园F6幢1层

订购:nanjing03@biogot.com

服务:biorase01@biogot.com

合作:lvyun@biogot.com

支持:may@biogot.com