中国 EN 400-660-9091

联系我们

电话:18013895086

电话:025-68037686

地址:江苏生命科技创新园F6幢1层

订购:nanjing03@biogot.com

服务:biorase01@biogot.com

合作:lvyun@biogot.com

支持:may@biogot.com

PLCG1 monoclonal antibody

货号: MB22020
价格 1200
货期 现货(1-2个工作日)
25ug 50ug 100ug 200ug
No. :MB22020
Product Name :PLCG1 monoclonal antibody
Swiss-Prot :P19174
Host :Mouse
Reactivity :Human,Rat,Monkey
Applications :WB,IHC,IF,FCM
Application_all :WB:1/500 - 1/2000 IHC:1/200 - 1/1000 IF:1/200 - 1/1000 FC:1/200 - 1/400
Background :The protein encoded by this gene catalyzes the formation of inositol 1,4,5-trisphosphate and diacylglycerol from phosphatidylinositol 4,5-bisphosphate. This reaction uses calcium as a cofactor and plays an important role in the intracellular transduction of receptor-mediated tyrosine kinase activators. For example, when activated by SRC, the encoded protein causes the Ras guanine nucleotide exchange factor RasGRP1 to translocate to the Golgi, where it activates Ras. Also, this protein has been shown to be a major substrate for heparin-binding growth factor 1 (acidic fibroblast growth factor)-activated tyrosine kinase. Two transcript variants encoding different isoforms have been found for this gene. <br />
Product :Purified antibody in PBS with 0.05% sodium azide
Purification&Purity :The antibody was affinity-purified from mouse ascites by affinity-chromatography using epitope-specific immunogen and the purity is > 95% (by SDS-PAGE).
Storage&Stability :Store at 4°C short term. Aliquot and store at -20°C long term. Avoid freeze-thaw cycles.
Specificity :Mouse IgG1
BiowMW :148.5kDa
Note :For research use only, not for use in diagnostic procedure.
Alternative Name :PLC1; NCKAP3; PLC-II; PLC148; PLCgamma1
Immunogen :Purified recombinant fragment of human PLCG1 (AA: 1192-1291) expressed in E. Coli.
Conjugate :Unconjugated
Modification :Unmodification
1上架,0下架 :1
试用装: 1是,0否 :1
限时特惠: 1是,0否 :1
Western blot analysis using PLCG1 mouse mAb against Hela (1), A431 (2), C6 (3), NIH/3T3 (4), COS7 (5), and HCT116 (6) cell lysate.
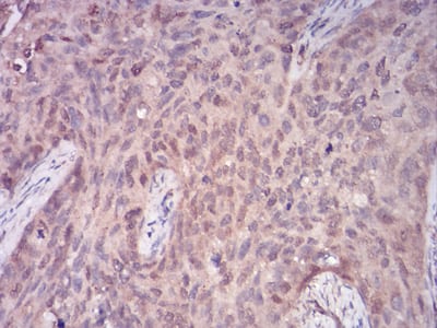
Immunohistochemical analysis of paraffin-embedded human cervical cancer tissues using PLCG1 mouse mAb with DAB staining.
Immunofluorescence analysis of HeLa cells using PLCG1 mouse mAb (green). Blue: DRAQ5 fluorescent DNA dye. Red: Actin filaments have been labeled with Alexa Fluor- 555 phalloidin. Secondary antibody from Fisher (Cat#: 35503)
Flow cytometric analysis of Jurkat cells using PLCG1 mouse mAb (green) and negative control (red).

关注我们

400-660-9091

电话:18013895086

地址:江苏生命科技创新园F6幢1层

订购:nanjing03@biogot.com

服务:biorase01@biogot.com

合作:lvyun@biogot.com

支持:may@biogot.com