中国 EN 400-660-9091

联系我们

电话:18013895086

电话:025-68037686

地址:江苏生命科技创新园F6幢1层

订购:nanjing03@biogot.com

服务:biorase01@biogot.com

合作:lvyun@biogot.com

支持:may@biogot.com

WTAP monoclonal antibody

货号: MB21954
价格 1200
货期 现货(1-2个工作日)
25ug 50ug 100ug 200ug
No. :MB21954
Product Name :WTAP monoclonal antibody
Swiss-Prot :Q15007
Host :Mouse
Reactivity :Human,Mouse,Rat,Rabbit,Monkey
Applications :WB,IHC,IF,FCM
Application_all :WB:1/500 - 1/2000 IHC:1/100 - 1/500 IF:1/50 - 1/500 FC:1/200 - 1/400
Background :The Wilms tumor suppressor gene WT1 appears to play a role in both transcriptional and posttranscriptional regulation of certain cellular genes. This gene encodes a WT1-associating protein, which is a ubiquitously expressed nuclear protein. Like WT1 protein, this protein is localized throughout the nucleoplasm as well as in speckles and partially colocalizes with splicing factors. Alternative splicing of this gene results in several transcript variants encoding three different isoforms.<br />
Product :Purified antibody in PBS with 0.05% sodium azide
Purification&Purity :The antibody was affinity-purified from mouse ascites by affinity-chromatography using epitope-specific immunogen and the purity is > 95% (by SDS-PAGE).
Storage&Stability :Store at 4°C short term. Aliquot and store at -20°C long term. Avoid freeze-thaw cycles.
Specificity :Mouse IgG1
BiowMW :44.2kDa
Note :For research use only, not for use in diagnostic procedure.
Alternative Name :PNAS-132;hFL(2)D;KIAA0105
Immunogen :Purified recombinant fragment of human WTAP (AA: 91-201) expressed in E. Coli.
Conjugate :Unconjugated
Modification :Unmodification
1上架,0下架 :1
试用装: 1是,0否 :1
限时特惠: 1是,0否 :1
Western blot analysis using WTAP mouse mAb against MCF-7 (1), Hela (2), K562 (3), Hek293 (4), A549 (5), HepG2 (6), Jurkat (7), and Cos7 (8) cell lysate.
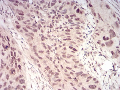
Immunohistochemical analysis of paraffin-embedded human cervical cancer tissues using WTAP mouse mAb with DAB staining.
Immunofluorescence analysis of Hela cells using WTAP mouse mAb (green). Blue: DRAQ5 fluorescent DNA dye. Red: Actin filaments have been labeled with Alexa Fluor- 555 phalloidin. Secondary antibody from Fisher (Cat#: 35503)
Flow cytometric analysis of A549 cells using WTAP mouse mAb (green) and negative control (red).

关注我们

400-660-9091

电话:18013895086

地址:江苏生命科技创新园F6幢1层

订购:nanjing03@biogot.com

服务:biorase01@biogot.com

合作:lvyun@biogot.com

支持:may@biogot.com