中国 EN 400-660-9091

联系我们

电话:18013895086

电话:025-68037686

地址:江苏生命科技创新园F6幢1层

订购:nanjing03@biogot.com

服务:biorase01@biogot.com

合作:lvyun@biogot.com

支持:may@biogot.com

CD38 monoclonal antibody

货号: MB21905
价格 1200
货期 现货(1-2个工作日)
25ug 50ug 100ug 200ug
No. :MB21905
Product Name :CD38 monoclonal antibody
Swiss-Prot :P28907
Host :Mouse
Reactivity :Human
Applications :WB,IHC
Application_all :WB:1/500 - 1/2000 IHC:1/200 - 1/1000
Background :CD38 is a novel multifunctional ectoenzyme widely expressed in cells and tissues especially in leukocytes. CD38 also functions in cell adhesion,signal transduction and calcium signaling.
Product :Purified antibody in PBS with 0.05% sodium azide.
Purification&Purity :The antibody was affinity-purified from mouse ascites by affinity-chromatography using epitope-specific immunogen and the purity is > 95% (by SDS-PAGE).
Storage&Stability :Store at 4°C short term. Aliquot and store at -20°C long term. Avoid freeze-thaw cycles.
Specificity :Mouse IgG1
BiowMW :34.3kDa
Note :For research use only, not for use in diagnostic procedure.
Alternative Name :T10; ADPRC 1
Immunogen :Purified recombinant fragment of human CD38 (AA: Extra(43-300)) expressed in E. Coli.
Conjugate :Unconjugated
Modification :Unmodification
1上架,0下架 :1
试用装: 1是,0否 :1
限时特惠: 1是,0否 :1
Western blot analysis using CD38 mouse mAb against HEK293 (1), LNcap (2) cell lysate.
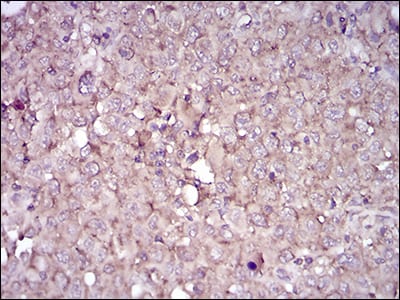
Immunohistochemical analysis of paraffin-embedded human endometrial cancer tissues using CD38 mouse mAb with DAB staining.

关注我们

400-660-9091

电话:18013895086

地址:江苏生命科技创新园F6幢1层

订购:nanjing03@biogot.com

服务:biorase01@biogot.com

合作:lvyun@biogot.com

支持:may@biogot.com