中国 EN 400-660-9091

联系我们

电话:18013895086

电话:025-68037686

地址:江苏生命科技创新园F6幢1层

订购:nanjing03@biogot.com

服务:biorase01@biogot.com

合作:lvyun@biogot.com

支持:may@biogot.com

EIF5A monoclonal antibody

货号: MB21883
价格 1200
货期 现货(1-2个工作日)
25ug 50ug 100ug 200ug
No. :MB21883
Product Name :EIF5A monoclonal antibody
Swiss-Prot :P63241
Host :Mouse
Reactivity :Human
Applications :WB,IHC,IF,FCM
Application_all :IHC:1/200 - 1/1000 IF:1/200 - 1/1000 FC:1/200 - 1/400
Background :EIF5A (eukaryotic translation initiation factor 5A) is a protein-coding gene. Diseases associated with EIF5A include lung adenocarcinoma, and intrahepatic cholangiocarcinoma, and among its related super-pathways are Post-translational protein modification and Apoptotic Pathways in Synovial Fibroblasts. GO annotations related to this gene include ribosome binding and RNA binding. An important paralog of this gene is EIF5AL1.
Product :Purified antibody in PBS with 0.05% sodium azide.
Purification&Purity :The antibody was affinity-purified from mouse ascites by affinity-chromatography using epitope-specific immunogen and the purity is > 95% (by SDS-PAGE).
Storage&Stability :Store at 4°C short term. Aliquot and store at -20°C long term. Avoid freeze-thaw cycles.
Specificity :Mouse IgG1
BiowMW :16.8kDa
Note :For research use only, not for use in diagnostic procedure.
Alternative Name :EIF-5A; EIF5A1; eIF5AI
Immunogen :Purified recombinant fragment of human EIF5A (AA: full(1-154)) expressed in E. Coli.
Conjugate :Unconjugated
Modification :Unmodification
1上架,0下架 :1
试用装: 1是,0否 :1
限时特惠: 1是,0否 :1
Western blot analysis using EIF5A mouse mAb against Raji (1) cell lysate.
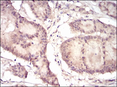
Immunohistochemical analysis of paraffin-embedded human colon cancer tissues using EIF5A mouse mAb with DAB staining.
Immunofluorescence analysis of Hela cells using EIF5A mouse mAb (green). Blue: DRAQ5 fluorescent DNA dye. Red: Actin filaments have been labeled with Alexa Fluor- 555 phalloidin. Secondary antibody from Fisher (Cat#: 35503)
Flow cytometric analysis of Hela cells using EIF5A mouse mAb (green) and negative control (red).

关注我们

400-660-9091

电话:18013895086

地址:江苏生命科技创新园F6幢1层

订购:nanjing03@biogot.com

服务:biorase01@biogot.com

合作:lvyun@biogot.com

支持:may@biogot.com