中国 EN 400-660-9091

联系我们

电话:18013895086

电话:025-68037686

地址:江苏生命科技创新园F6幢1层

订购:nanjing03@biogot.com

服务:biorase01@biogot.com

合作:lvyun@biogot.com

支持:may@biogot.com

UBE2C monoclonal antibody

货号: MB21865
价格 1200
货期 现货(1-2个工作日)
25ug 50ug 100ug 200ug
No. :MB21865
Product Name :UBE2C monoclonal antibody
Swiss-Prot :O00762
Host :Mouse
Reactivity :Human
Applications :WB,IHC
Application_all :IHC:1/200 - 1/1000
Background :The modification of proteins with ubiquitin is an important cellular mechanism for targeting abnormal or short-lived proteins for degradation. Ubiquitination involves at least three classes of enzymes: ubiquitin-activating enzymes, ubiquitin-conjugating enzymes, and ubiquitin-protein ligases. This gene encodes a member of the E2 ubiquitin-conjugating enzyme family. The encoded protein is required for the destruction of mitotic cyclins and for cell cycle progression, and may be involved in cancer progression. Multiple transcript variants encoding different isoforms have been found for this gene. Pseudogenes of this gene have been defined on chromosomes 4, 14, 15, 18, and 19.
Product :Purified antibody in PBS with 0.05% sodium azide.
Purification&Purity :The antibody was affinity-purified from mouse ascites by affinity-chromatography using epitope-specific immunogen and the purity is > 95% (by SDS-PAGE).
Storage&Stability :Store at 4°C short term. Aliquot and store at -20°C long term. Avoid freeze-thaw cycles.
Specificity :Mouse IgG2a
BiowMW :19.7kDa
Note :For research use only, not for use in diagnostic procedure.
Alternative Name :UBCH10; dJ447F3.2
Immunogen :Purified recombinant fragment of human UBE2C (AA: FULL(1-179)) expressed in E. Coli.
Conjugate :Unconjugated
Modification :Unmodification
1上架,0下架 :1
试用装: 1是,0否 :1
限时特惠: 1是,0否 :1
Western blot analysis using UBE2C mouse mAb against Hela (1), and Raji (2) cell lysate.
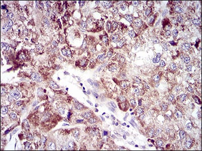
Immunohistochemical analysis of paraffin-embedded human liver cancer tissues using UBE2C mouse mAb with DAB staining.

关注我们

400-660-9091

电话:18013895086

地址:江苏生命科技创新园F6幢1层

订购:nanjing03@biogot.com

服务:biorase01@biogot.com

合作:lvyun@biogot.com

支持:may@biogot.com