中国 EN 400-660-9091

联系我们

电话:18013895086

电话:025-68037686

地址:江苏生命科技创新园F6幢1层

订购:nanjing03@biogot.com

服务:biorase01@biogot.com

合作:lvyun@biogot.com

支持:may@biogot.com

PTPRC monoclonal antibody

货号: MB21775
价格 1200
货期 现货(1-2个工作日)
25ug 50ug 100ug 200ug
No. :MB21775
Product Name :PTPRC monoclonal antibody
Swiss-Prot :P08575
Host :Mouse
Reactivity :Human
Applications :WB,IHC
Application_all :WB:1/500 - 1/2000 IHC:1/200 - 1/1000
Background :The protein encoded by this gene is a member of the protein tyrosine phosphatase (PTP) family. PTPs are known to be signaling molecules that regulate a variety of cellular processes including cell growth, differentiation, mitosis, and oncogenic transformation. This PTP contains an extracellular domain, a single transmembrane segment and two tandem intracytoplasmic catalytic domains, and thus is classified as a receptor type PTP. This PTP has been shown to be an essential regulator of T- and B-cell antigen receptor signaling. It functions through either direct interaction with components of the antigen receptor complexes, or by activating various Src family kinases required for the antigen receptor signaling. This PTP also suppresses JAK kinases, and thus functions as a regulator of cytokine receptor signaling. Alternatively spliced transcripts variants of this gene, which encode distinct isoforms, have been reported. <br /><br />
Product :Purified antibody in PBS with 0.05% sodium azide
Purification&Purity :The antibody was affinity-purified from mouse ascites by affinity-chromatography using epitope-specific immunogen and the purity is > 95% (by SDS-PAGE).
Storage&Stability :Store at 4°C short term. Aliquot and store at -20°C long term. Avoid freeze-thaw cycles.
Specificity :Mouse IgG1
BiowMW :147.3kDa
Note :For research use only, not for use in diagnostic procedure.
Alternative Name :LCA; LY5; B220; CD45; L-CA; T200; CD45R; GP180
Immunogen :Purified recombinant fragment of human PTPRC (AA: 928-989) expressed in E. Coli.
Conjugate :Unconjugated
Modification :Unmodification
1上架,0下架 :1
试用装: 1是,0否 :1
限时特惠: 1是,0否 :1
Western blot analysis using PTPRC mouse mAb against Hela (1) and A431 (2) cell lysate.
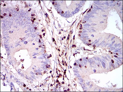
Immunohistochemical analysis of paraffin-embedded human colon cancer tissues using PTPRC mouse mAb with DAB staining.

关注我们

400-660-9091

电话:18013895086

地址:江苏生命科技创新园F6幢1层

订购:nanjing03@biogot.com

服务:biorase01@biogot.com

合作:lvyun@biogot.com

支持:may@biogot.com