中国 EN 400-660-9091

联系我们

电话:18013895086

电话:025-68037686

地址:江苏生命科技创新园F6幢1层

订购:nanjing03@biogot.com

服务:biorase01@biogot.com

合作:lvyun@biogot.com

支持:may@biogot.com

ANXA1 monoclonal antibody

货号: MB21655
价格 1200
货期 现货(1-2个工作日)
25ug 50ug 100ug 200ug
No. :MB21655
Product Name :ANXA1 monoclonal antibody
Swiss-Prot :P04083
Host :Mouse
Reactivity :Human,Mouse,Monkey
Applications :WB,IHC
Application_all :WB:1/500 - 1/2000 IHC:1/200 - 1/1000
Background :Annexin I belongs to a family of Ca(2+)-dependent phospholipid binding proteins which have a molecular weight of approximately 35,000 to 40,000 and are preferentially located on the cytosolic face of the plasma membrane. Annexin I protein has an apparent relative molecular mass of 40 kDa, with phospholipase A2 inhibitory activity. Since phospholipase A2 is required for the biosynthesis of the potent mediators of inflammation, prostaglandins and leukotrienes, annexin I may have potential anti-inflammatory activity.
Product :Purified antibody in PBS with 0.05% sodium azide
Purification&Purity :The antibody was affinity-purified from mouse ascites by affinity-chromatography using epitope-specific immunogen and the purity is > 95% (by SDS-PAGE).
Storage&Stability :Store at 4°C short term. Aliquot and store at -20°C long term. Avoid freeze-thaw cycles.
Specificity :Mouse IgG1
BiowMW :38.7kDa
Note :For research use only, not for use in diagnostic procedure.
Alternative Name :ANX1; LPC1
Immunogen :Purified recombinant fragment of human ANXA1 (AA: 144-248 ) expressed in E. Coli.
Conjugate :Unconjugated
Modification :Unmodification
1上架,0下架 :1
试用装: 1是,0否 :1
限时特惠: 1是,0否 :1
Western blot analysis using ANXA1 mouse mAb against Hela (1), A549 (2), K562 (3), NIH3T3 (4), C6 (5), and COS7 (6) cell lysate.
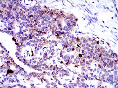
Immunohistochemical analysis of paraffin-embedded human ovarian cancer tissues using ANXA1 mouse mAb with DAB staining.

关注我们

400-660-9091

电话:18013895086

地址:江苏生命科技创新园F6幢1层

订购:nanjing03@biogot.com

服务:biorase01@biogot.com

合作:lvyun@biogot.com

支持:may@biogot.com