中国 EN 400-660-9091

联系我们

电话:18013895086

电话:025-68037686

地址:江苏生命科技创新园F6幢1层

订购:nanjing03@biogot.com

服务:biorase01@biogot.com

合作:lvyun@biogot.com

支持:may@biogot.com

SHH monoclonal antibody

货号: MB21626
价格 1200
货期 现货(1-2个工作日)
25ug 50ug 100ug 200ug
No. :MB21626
Product Name :SHH monoclonal antibody
Swiss-Prot :Q15465
Host :Mouse
Reactivity :Human,Mouse,Monkey
Applications :WB,IHC,FCM
Application_all :WB:1/500 - 1/2000 IHC:1/200 - 1/1000 FC:1/200 - 1/400
Background :This gene encodes a protein that is instrumental in patterning the early embryo. It has been implicated as the key inductive signal in patterning of the ventral neural tube, the anterior-posterior limb axis, and the ventral somites. Of three human proteins showing sequence and functional similarity to the sonic hedgehog protein of Drosophila, this protein is the most similar. The protein is made as a precursor that is autocatalytically cleaved; the N-terminal portion is soluble and contains the signalling activity while the C-terminal portion is involved in precursor processing. More importantly, the C-terminal product covalently attaches a cholesterol moiety to the N-terminal product, restricting the N-terminal product to the cell surface and preventing it from freely diffusing throughout the developing embryo. Defects in this protein or in its signalling pathway are a cause of holoprosencephaly (HPE), a disorder in which the developing forebrain fails to correctly separate into right and left hemispheres. HPE is manifested by facial deformities. It is also thought that mutations in this gene or in its signalling pathway may be responsible for VACTERL syndrome, which is characterized by vertebral defects, anal atresia, tracheoesophageal fistula with esophageal atresia, radial and renal dysplasia, cardiac anomalies, and limb abnormalities. Additionally, mutations in a long range enhancer located approximately 1 megabase upstream of this gene disrupt limb patterning and can result in preaxial polydactyly.
Product :Purified antibody in PBS with 0.05% sodium azide
Purification&Purity :The antibody was affinity-purified from mouse ascites by affinity-chromatography using epitope-specific immunogen and the purity is > 95% (by SDS-PAGE).
Storage&Stability :Store at 4°C short term. Aliquot and store at -20°C long term. Avoid freeze-thaw cycles.
Specificity :Mouse IgG1
BiowMW :49.6kDa
Note :For research use only, not for use in diagnostic procedure.
Alternative Name :TPT; HHG1; HLP3; HPE3; SMMCI; TPTPS; MCOPCB5
Immunogen :Purified recombinant fragment of human SHH (AA: 26-161) expressed in E. Coli.
Conjugate :Unconjugated
Modification :Unmodification
1上架,0下架 :1
试用装: 1是,0否 :1
限时特惠: 1是,0否 :1
Western blot analysis using SHH mouse mAb against LNCaP (1), HepG2 (2), PANC-1 (3),HeLa (4), SK-N-SH (5), F9 (6), NIH3T3 (7), and COS7 (8) cell lysate.
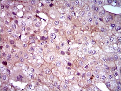
Immunohistochemical analysis of paraffin-embedded human liver cancer tissues using SHH mouse mAb with DAB staining.

关注我们

400-660-9091

电话:18013895086

地址:江苏生命科技创新园F6幢1层

订购:nanjing03@biogot.com

服务:biorase01@biogot.com

合作:lvyun@biogot.com

支持:may@biogot.com