中国 EN 400-660-9091

联系我们

电话:18013895086

电话:025-68037686

地址:江苏生命科技创新园F6幢1层

订购:nanjing03@biogot.com

服务:biorase01@biogot.com

合作:lvyun@biogot.com

支持:may@biogot.com

EIF4B monoclonal antibody

货号: MB21616
价格 1200
货期 现货(1-2个工作日)
25ug 50ug 100ug 200ug
No. :MB21616
Product Name :EIF4B monoclonal antibody
Swiss-Prot :P23588
Host :Mouse
Reactivity :Human,Mouse
Applications :WB,IHC,IF,FCM
Application_all :WB:1/500 - 1/2000 IHC:1/200 - 1/1000 IF:1/200 - 1/1000 FC:1/200 - 1/400
Background :The eukaryotic translation initiation factor 4B (eIF4B) plays a critical role in recruiting the 40S ribosomal subunit to the mRNA.It functions in close association with eIF4F and eIF4A. It binds near the 5'-terminal cap of mRNA in the presence of eIF4F and ATP. It promotes the ATPase activity and the ATP-dependent RNA unwinding activity of both eIF4A and eIF4F
Product :Purified antibody in PBS with 0.05% sodium azide
Purification&Purity :The antibody was affinity-purified from mouse ascites by affinity-chromatography using epitope-specific immunogen and the purity is > 95% (by SDS-PAGE).
Storage&Stability :Store at 4°C short term. Aliquot and store at -20°C long term. Avoid freeze-thaw cycles.
Specificity :Mouse IgG2b
BiowMW :80kDa
Note :For research use only, not for use in diagnostic procedure.
Alternative Name :EIF-4B; PRO1843
Immunogen :Purified recombinant fragment of human EIF4B expressed in E. Coli.
Conjugate :Unconjugated
Modification :Unmodification
1上架,0下架 :1
试用装: 1是,0否 :1
限时特惠: 1是,0否 :1
Western blot analysis using EIF4B mouse mAb against A549 (1), A431 (2), HepG2 (3), HEK293 (4), HeLa (5), Jurkat (6), K562 (7), NIH3T3 (8), and MCF-7 (9) cell lysate.
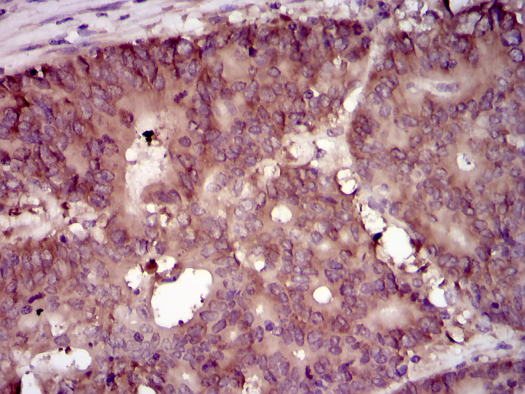
Immunohistochemical analysis of paraffin-embedded human colon cancer tissues using EIF4B mouse mAb with DAB staining.
Immunofluorescence analysis of NIH3T3 cells using EIF4B mouse mAb (green). Blue: DRAQ5 fluorescent DNA dye. Red: Actin filaments have been labeled with Alexa Fluor-555 phalloidin.
Flow cytometric analysis of HeLa cells using EIF4B mouse mAb (green) and negative control (red).

关注我们

400-660-9091

电话:18013895086

地址:江苏生命科技创新园F6幢1层

订购:nanjing03@biogot.com

服务:biorase01@biogot.com

合作:lvyun@biogot.com

支持:may@biogot.com