中国 EN 400-660-9091

联系我们

电话:18013895086

电话:025-68037686

地址:江苏生命科技创新园F6幢1层

订购:nanjing03@biogot.com

服务:biorase01@biogot.com

合作:lvyun@biogot.com

支持:may@biogot.com

FOXO1 monoclonal antibody

货号: MB21579
价格 1200
货期 现货(1-2个工作日)
25ug 50ug 100ug 200ug
No. :MB21579
Product Name :FOXO1 monoclonal antibody
Swiss-Prot :Q12778
Host :Mouse
Reactivity :Human,Mouse,Rat,Rabbit,Monkey
Applications :WB,IHC,IF,FCM
Application_all :WB:1/500 - 1/2000 IHC:1/200 - 1/1000 IF:1/200 - 1/1000 FC:1/200 - 1/400
Background :This gene belongs to the forkhead family of transcription factors which are characterized by a distinct forkhead domain. The specific function of this gene has not yet been determined; however, it may play a role in myogenic growth and differentiation. Translocation of this gene with PAX3 has been associated with alveolar rhabdomyosarcoma.
Product :Purified antibody in PBS with 0.05% sodium azide
Purification&Purity :The antibody was affinity-purified from mouse ascites by affinity-chromatography using epitope-specific immunogen and the purity is > 95% (by SDS-PAGE).
Storage&Stability :Store at 4°C short term. Aliquot and store at -20°C long term. Avoid freeze-thaw cycles.
Specificity :Mouse IgG1
BiowMW :69.7kDa
Note :For research use only, not for use in diagnostic procedure.
Alternative Name :FKH1; FKHR; FOXO1A
Immunogen :Purified recombinant fragment of human FOXO1 expressed in E. Coli.
Conjugate :Unconjugated
Modification :Unmodification
1上架,0下架 :1
试用装: 1是,0否 :1
限时特惠: 1是,0否 :1
Western blot analysis using FOXO1 mouse mAb against Hela (1), HEK293 (2), MCF-7(3), and C6 (4) cell lysate.
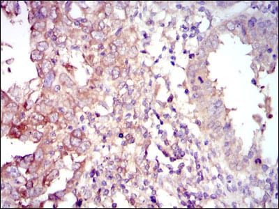
Immunohistochemical analysis of paraffin-embedded human intima cancer tissues using FOXO1 mouse mAb with DAB staining.
Immunofluorescence analysis of Hela cells using FOXO1 mouse mAb (green). Blue: DRAQ5 fluorescent DNA dye.

关注我们

400-660-9091

电话:18013895086

地址:江苏生命科技创新园F6幢1层

订购:nanjing03@biogot.com

服务:biorase01@biogot.com

合作:lvyun@biogot.com

支持:may@biogot.com