中国 EN 400-660-9091

联系我们

电话:18013895086

电话:025-68037686

地址:江苏生命科技创新园F6幢1层

订购:nanjing03@biogot.com

服务:biorase01@biogot.com

合作:lvyun@biogot.com

支持:may@biogot.com

ASS1 monoclonal antibody

货号: MB21573
价格 1200
货期 现货(1-2个工作日)
25ug 50ug 100ug 200ug
No. :MB21573
Product Name :ASS1 monoclonal antibody
Swiss-Prot :P00966
Host :Mouse
Reactivity :Human,Mouse,Monkey
Applications :WB,IHC
Application_all :WB:1/500 - 1/2000 IHC:1/200 - 1/1000
Background :The protein encoded by this gene catalyzes the penultimate step of the arginine biosynthetic pathway. There are approximately 10 to 14 copies of this gene including the pseudogenes scattered across the human genome, among which the one located on chromosome 9 appears to be the only functional gene for argininosuccinate synthetase. Mutations in the chromosome 9 copy of ASS cause citrullinemia. Two transcript variants encoding the same protein have been found for this gene.
Product :Purified antibody in PBS with 0.05% sodium azide
Purification&Purity :The antibody was affinity-purified from mouse ascites by affinity-chromatography using epitope-specific immunogen and the purity is > 95% (by SDS-PAGE).
Storage&Stability :Store at 4°C short term. Aliquot and store at -20°C long term. Avoid freeze-thaw cycles.
Specificity :Mouse IgG1
BiowMW :47kDa
Note :For research use only, not for use in diagnostic procedure.
Alternative Name :ASS; CTLN1
Immunogen :Purified recombinant fragment of human ASS1 expressed in E. Coli.
Conjugate :Unconjugated
Modification :Unmodification
1上架,0下架 :1
试用装: 1是,0否 :1
限时特惠: 1是,0否 :1
Western blot analysis using ASS1 mouse mAb against A431 (1), RAJI (2), MOLT4 (3), Jurkat (4), A549 (5), NIH/3T3 (6), PC-12 (7) and Cos7 (8) cell lysate.
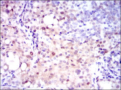
Immunohistochemical analysis of paraffin-embedded human cervical cancer tissues using ASS1 mouse mAb with DAB staining.

关注我们

400-660-9091

电话:18013895086

地址:江苏生命科技创新园F6幢1层

订购:nanjing03@biogot.com

服务:biorase01@biogot.com

合作:lvyun@biogot.com

支持:may@biogot.com