中国 EN 400-660-9091

联系我们

电话:18013895086

电话:025-68037686

地址:江苏生命科技创新园F6幢1层

订购:nanjing03@biogot.com

服务:biorase01@biogot.com

合作:lvyun@biogot.com

支持:may@biogot.com

MAPK3 monoclonal antibody

货号: MB21518
价格 1200
货期 现货(1-2个工作日)
25ug 50ug 100ug 200ug
No. :MB21518
Product Name :MAPK3 monoclonal antibody
Swiss-Prot :P27361
Host :Mouse
Reactivity :Human,Mouse,Rat,Monkey
Applications :WB,IHC,IF,FCM
Application_all :WB:1/500 - 1/2000 IHC:1/200 - 1/1000 IF:1/200 - 1/1000 FC:1/200 - 1/400
Background :The protein encoded by this gene is a member of the MAP kinase family. MAP kinases, also known as extracellular signal-regulated kinases (ERKs), act in a signaling cascade that regulates various cellular processes such as proliferation, differentiation, and cell cycle progression in response to a variety of extracellular signals. This kinase is activated by upstream kinases, resulting in its translocation to the nucleus where it phosphorylates nuclear targets. Alternatively spliced transcript variants encoding different protein isoforms have been described.
Product :Ascitic fluid containing 0.03% sodium azide.
Purification&Purity :The antibody was affinity-purified from mouse ascites by affinity-chromatography using epitope-specific immunogen and the purity is > 95% (by SDS-PAGE).
Storage&Stability :Store at 4°C short term. Aliquot and store at -20°C long term. Avoid freeze-thaw cycles.
Specificity :Mouse IgG1
BiowMW :44kDa
Note :For research use only, not for use in diagnostic procedure.
Alternative Name :ERK1; PRKM3; P44ERK1; P44MAPK; HS44KDAP; HUMKER1A; MGC20180
Immunogen :Purified recombinant fragment of human MAPK3 expressed in E. Coli.
Conjugate :Unconjugated
Modification :Unmodification
1上架,0下架 :1
试用装: 1是,0否 :1
限时特惠: 1是,0否 :1
Western blot analysis using MAPK3 mouse mAb against Hela (1), Jurkat (2), RAW264.7 (3), HEK293 (4), K562 (5), NIH/3T3 (6), Cos7 (7) and PC-12 (8) cell lysate.
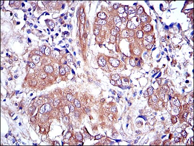
Immunohistochemical analysis of paraffin-embedded human breast cancer tissues using MAPK3 mouse mAb with DAB staining.
Immunofluorescence analysis of NIH/3T3 cells using MAPK3 mouse mAb (green). Blue: DRAQ5 fluorescent DNA dye. Red: Actin filaments have been labeled with Alexa Fluor-555 phalloidin.
Flow cytometric analysis of Hela cells using MAPK3 mouse mAb (blue) and negative control (red).

关注我们

400-660-9091

电话:18013895086

地址:江苏生命科技创新园F6幢1层

订购:nanjing03@biogot.com

服务:biorase01@biogot.com

合作:lvyun@biogot.com

支持:may@biogot.com