中国 EN 400-660-9091

联系我们

电话:18013895086

电话:025-68037686

地址:江苏生命科技创新园F6幢1层

订购:nanjing03@biogot.com

服务:biorase01@biogot.com

合作:lvyun@biogot.com

支持:may@biogot.com

EIF4E monoclonal antibody

货号: MB21453
价格 1200
货期 现货(1-2个工作日)
25ug 50ug 100ug 200ug
No. :MB21453
Product Name :EIF4E monoclonal antibody
Swiss-Prot :P06730
Host :Mouse
Reactivity :Human
Applications :WB,IHC,IF,FCM
Application_all :WB:1/500 - 1/2000 IHC:1/200 - 1/1000 IF:1/200 - 1/1000 FC:1/200 - 1/400
Background :eIF4E, a protein modulates translation of maternal mRNAs in early embryos before the onset of zygotic transcription. eIF4E also influences the overall rate of translation. eIF4E binds to the 7 methyl GTP cap structure of eukaryotic mRNAs. Phosphorylation of eIF4E on serine 209 regulates the affinity of this protein for the 7 methyl GTP cap and/or RNA. Phosphorylation also enhances the interaction of eIF4E with eIF4G, which form a complex known as eIF4F. eIF4E phosphorylation is correlated with increased translational rate in a number of cell types. Several kinases are currently being investigated as potential regulators of eIF4E including PKC and/or the MAP kinase activated Mnk.
Product :Ascitic fluid containing 0.03% sodium azide.
Purification&Purity :The antibody was affinity-purified from mouse ascites by affinity-chromatography using epitope-specific immunogen and the purity is > 95% (by SDS-PAGE).
Storage&Stability :Store at 4°C short term. Aliquot and store at -20°C long term. Avoid freeze-thaw cycles.
Specificity :Mouse IgG1
BiowMW :25kDa
Note :For research use only, not for use in diagnostic procedure.
Alternative Name :CBP; EIF4F; EIF4E1; EIF4EL1; MGC111573; EIF4E
Immunogen :Purified recombinant fragment of human EIF4E expressed in E. Coli.
Conjugate :Unconjugated
Modification :Unmodification
1上架,0下架 :1
试用装: 1是,0否 :1
限时特惠: 1是,0否 :1
Western blot analysis using EIF4E mouse mAb against Hela (1), HEK293 (2) and K562 (3) cell lysate.
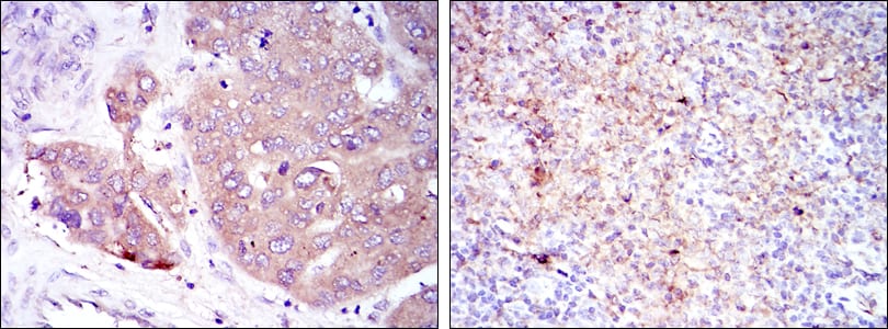
Immunohistochemical analysis of paraffin-embedded human liver cancer (left) and submaxillary tumor (right) using EIF4E mouse mAb with DAB staining.
Immunofluorescence analysis of GC-7901 cells using EIF4E mouse mAb (green). Blue: DRAQ5 fluorescent DNA dye. Red: Actin filaments have been labeled with Alexa Fluor-555 phalloidin.
Flow cytometric analysis of Hela cells using EIF4E mouse mAb (green) and negative control (purple).

关注我们

400-660-9091

电话:18013895086

地址:江苏生命科技创新园F6幢1层

订购:nanjing03@biogot.com

服务:biorase01@biogot.com

合作:lvyun@biogot.com

支持:may@biogot.com