中国 EN 400-660-9091

联系我们

电话:18013895086

电话:025-68037686

地址:江苏生命科技创新园F6幢1层

订购:nanjing03@biogot.com

服务:biorase01@biogot.com

合作:lvyun@biogot.com

支持:may@biogot.com

BMPR2 monoclonal antibody

货号: MB21448
价格 1200
货期 现货(1-2个工作日)
25ug 50ug 100ug 200ug
No. :MB21448
Product Name :BMPR2 monoclonal antibody
Swiss-Prot :Q13873
Host :Mouse
Reactivity :Human,Mouse,Rat,Rabbit,Monkey
Applications :WB,IHC,IF
Application_all :WB:1/500 - 1/2000 IHC:1/200 - 1/1000 IF:1/200 - 1/1000
Background :This gene encodes a member of the bone morphogenetic protein (BMP) receptor family of transmembrane serine/threonine kinases. The ligands of this receptor are BMPs, which are members of the TGF-beta superfamily. BMPs are involved in endochondral bone formation and embryogenesis. These proteins transduce their signals through the formation of heteromeric complexes of two different types of serine (threonine) kinase receptors: type I receptors of about 50-55 kD and type II receptors of about 70-80 kD. Type II receptors bind ligands in the absence of type I receptors, but they require their respective type I receptors for signaling, whereas type I receptors require their respective type II receptors for ligand binding. Mutations in this gene have been associated with primary pulmonary hypertension, both familial and fenfluramine-associated, and with pulmonary venoocclusive disease. (provided by RefSeq)
Product :Purified antibody in PBS with 0.05% sodium azide.
Purification&Purity :The antibody was affinity-purified from mouse ascites by affinity-chromatography using epitope-specific immunogen and the purity is > 95% (by SDS-PAGE).
Storage&Stability :Store at 4°C short term. Aliquot and store at -20°C long term. Avoid freeze-thaw cycles.
Specificity :Mouse IgG1
BiowMW :115kDa
Note :For research use only, not for use in diagnostic procedure.
Alternative Name :BMR2; PPH1; BMPR3; BRK-3; T-ALK; BMPR-II; FLJ41585; FLJ76945; BMPR2
Immunogen :Purified recombinant fragment of human BMPR2 expressed in E. Coli.
Conjugate :Unconjugated
Modification :Unmodification
1上架,0下架 :1
试用装: 1是,0否 :1
限时特惠: 1是,0否 :1
Western blot analysis using BMPR2 mouse mAb against Hela (1), A431 (2), NIH/3T3 (3), Cos7 (4) and PC-12 (5) cell lysate.
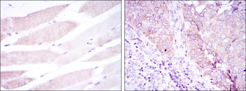
Immunohistochemical analysis of paraffin-embedded human muscle tissues (left) and kidney cancer tissues (right) using BMPR2 mouse mAb with DAB staining.
Immunofluorescence analysis of Eca109 cells using BMPR2 mouse mAb (green). Blue: DRAQ5 fluorescent DNA dye. Red: Actin filaments have been labeled with Alexa Fluor-555 phalloidin.

关注我们

400-660-9091

电话:18013895086

地址:江苏生命科技创新园F6幢1层

订购:nanjing03@biogot.com

服务:biorase01@biogot.com

合作:lvyun@biogot.com

支持:may@biogot.com