中国 EN 400-660-9091

联系我们

电话:18013895086

电话:025-68037686

地址:江苏生命科技创新园F6幢1层

订购:nanjing03@biogot.com

服务:biorase01@biogot.com

合作:lvyun@biogot.com

支持:may@biogot.com

p63a monoclonal antibody

货号: MB21440
价格 1200
货期 现货(1-2个工作日)
25ug 50ug 100ug 200ug
No. :MB21440
Product Name :p63a monoclonal antibody
Swiss-Prot :Q9H3D4
Host :Mouse
Reactivity :Human,Mouse,Rat,Monkey
Applications :WB,IHC
Application_all :WB:1/500 - 1/2000 IHC:1/200 - 1/1000
Background :The p63 gene is a homologue of the p53 tumor suppressor gene. Like p53, p63 contains a transactivation (TA) domain induce the transcription of target genes, a DNA binding domain, and an oligomerization domain (OD), used to form tetramers. In contrast to p53, the p63 gene encodes for at least six major isotypes. Three isotypes (TAp63a, TAp63
Product :Purified antibody in PBS with 0.05% sodium azide.
Purification&Purity :The antibody was affinity-purified from mouse ascites by affinity-chromatography using epitope-specific immunogen and the purity is > 95% (by SDS-PAGE).
Storage&Stability :Store at 4°C short term. Aliquot and store at -20°C long term. Avoid freeze-thaw cycles.
Specificity :Mouse IgG1
BiowMW :51kDa
Note :For research use only, not for use in diagnostic procedure.
Alternative Name :P51B; KET; p63α
Immunogen :Synthesized peptide of human p63α.
Conjugate :Unconjugated
Modification :Unmodification
1上架,0下架 :1
试用装: 1是,0否 :1
限时特惠: 1是,0否 :1
Western blot analysis using p63 mouse mAb against A431 (1), Hela (2), Jurkat (3), THP-1 (4), NIH/3T3 (5), Cos7 (6) and PC-12 (7) cell lysate.
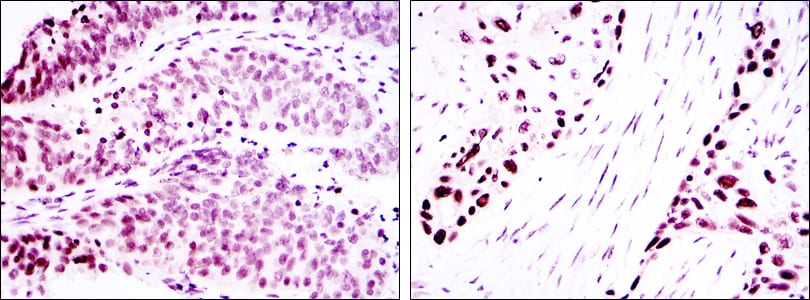
Immunohistochemical analysis of paraffin-embedded human ovarian cancer (left) and lung cancer (right) using p63 mouse mAb with DAB staining.

关注我们

400-660-9091

电话:18013895086

地址:江苏生命科技创新园F6幢1层

订购:nanjing03@biogot.com

服务:biorase01@biogot.com

合作:lvyun@biogot.com

支持:may@biogot.com