中国 EN 400-660-9091

联系我们

电话:18013895086

电话:025-68037686

地址:江苏生命科技创新园F6幢1层

订购:nanjing03@biogot.com

服务:biorase01@biogot.com

合作:lvyun@biogot.com

支持:may@biogot.com

AURKA monoclonal antibody

货号: MB21427
价格 1200
货期 现货(1-2个工作日)
25ug 50ug 100ug 200ug
No. :MB21427
Product Name :AURKA monoclonal antibody
Swiss-Prot :O14965
Host :Mouse
Reactivity :Human,Rat,Monkey
Applications :WB,IHC
Application_all :WB:1/500 - 1/2000 IHC:1/200 - 1/1000
Background :Aurora A plays a role in cell cycle regulation during anaphase and/or telophase, in relation to the function of the centrosome/spindle pole region during chromosome segregation. Aurora A plays a key role during tumor development and progression and is overexpressed in many human cancers including breast, ovarian and colorectal. Aurora A is viewed as a potential target for anticancer drug treatment.Tissue specificity: Highly expressed in testis and weakly in skeletal muscle, thymus and spleen. Also highly expressed in colon, ovarian, prostate, neuroblastoma, breast and cervical cancer cell lines.
Product :Ascitic fluid containing 0.03% sodium azide.
Purification&Purity :The antibody was affinity-purified from mouse ascites by affinity-chromatography using epitope-specific immunogen and the purity is > 95% (by SDS-PAGE).
Storage&Stability :Store at 4°C short term. Aliquot and store at -20°C long term. Avoid freeze-thaw cycles.
Specificity :Mouse IgG1
BiowMW :48kDa
Note :For research use only, not for use in diagnostic procedure.
Alternative Name :AIK; ARK1; AURA; BTAK; STK6; STK7; STK15; AURORA2; MGC34538; AURKA
Immunogen :Purified recombinant fragment of human AURKA expressed in E. Coli.
Conjugate :Unconjugated
Modification :Unmodification
1上架,0下架 :1
试用装: 1是,0否 :1
限时特惠: 1是,0否 :1
Western blot analysis using AURKA mouse mAb against HEK293 (1), Sw620 (2), MCF-7 (3), Jurkat (4), Hela (5), HepG2 (6), Cos7 (7) and PC-12 (8) cell lysate.
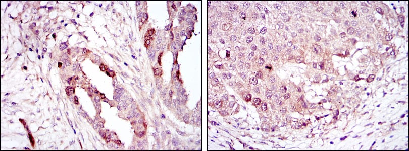
Immunohistochemical analysis of paraffin-embedded human ovarian cancer (left) and lung cancer (right) using AURKA mouse mAb with DAB staining.

关注我们

400-660-9091

电话:18013895086

地址:江苏生命科技创新园F6幢1层

订购:nanjing03@biogot.com

服务:biorase01@biogot.com

合作:lvyun@biogot.com

支持:may@biogot.com