中国 EN 400-660-9091

联系我们

电话:18013895086

电话:025-68037686

地址:江苏生命科技创新园F6幢1层

订购:nanjing03@biogot.com

服务:biorase01@biogot.com

合作:lvyun@biogot.com

支持:may@biogot.com

CARM1 monoclonal antibody

货号: MB21420
价格 1200
货期 现货(1-2个工作日)
25ug 50ug 100ug 200ug
No. :MB21420
Product Name :CARM1 monoclonal antibody
Swiss-Prot :Q86X55
Host :Mouse
Reactivity :Human,Mouse,Rat,Rabbit,Monkey
Applications :WB,IHC,IF,FCM
Application_all :WB:1/500 - 1/2000 IHC:1/200 - 1/1000 IF:1/200 - 1/1000 FC:1/200 - 1/400
Background :Protein arginine N-methyltransferases, such as CARM1, catalyze the transfer of a methyl group from S-adenosyl-L-methionine to the side chain nitrogens of arginine residues within proteins to form methylated arginine derivatives and S-adenosyl-L-homocysteine. Protein arginine methylation has been implicated in signal transduction, metabolism of nascent pre-RNA, and transcriptional activation (Frankel et al. 2002 (PubMed 11724789). Tissue specificity: Overexpressed in prostate adenocarcinomas and high-grade prostatic intraepithelial neoplasia.
Product :Purified antibody in PBS with 0.05% sodium azide.
Purification&Purity :The antibody was affinity-purified from mouse ascites by affinity-chromatography using epitope-specific immunogen and the purity is > 95% (by SDS-PAGE).
Storage&Stability :Store at 4°C short term. Aliquot and store at -20°C long term. Avoid freeze-thaw cycles.
Specificity :Mouse IgG1
BiowMW :65kDa
Note :For research use only, not for use in diagnostic procedure.
Alternative Name :PRMT4; CARM1
Immunogen :Purified recombinant fragment of human CARM1 expressed in E. Coli.
Conjugate :Unconjugated
Modification :Unmodification
1上架,0下架 :1
试用装: 1是,0否 :1
限时特惠: 1是,0否 :1
Western blot analysis using CARM1 mouse mAb against MCF-7 (1), Hela (2), NIH/3T3 (3), HL-60 (4), LNcap (5), Jurkat (6), PC-3 (7), Cos7 (8), and PC-12 (9) cell lysate.
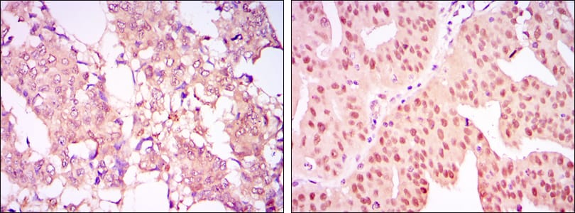
Immunohistochemical analysis of paraffin-embedded human breast cancer tissues (left) and ovarian cancer tissues (right) using CARM1 mouse mAb with DAB staining.
Immunofluorescence analysis of Hela cells using CRAM1 mouse mAb (green). Red: Actin filaments have been labeled with Alexa Fluor-555 phalloidin.
Flow cytometric analysis of Lovo cells using CARM1 mouse mAb (green) and negative control (purple).

关注我们

400-660-9091

电话:18013895086

地址:江苏生命科技创新园F6幢1层

订购:nanjing03@biogot.com

服务:biorase01@biogot.com

合作:lvyun@biogot.com

支持:may@biogot.com