中国 EN 400-660-9091

联系我们

电话:18013895086

电话:025-68037686

地址:江苏生命科技创新园F6幢1层

订购:nanjing03@biogot.com

服务:biorase01@biogot.com

合作:lvyun@biogot.com

支持:may@biogot.com

PSIP1 monoclonal antibody

货号: MB21419
价格 1200
货期 现货(1-2个工作日)
25ug 50ug 100ug 200ug
No. :MB21419
Product Name :PSIP1 monoclonal antibody
Swiss-Prot :O75475
Host :Mouse
Reactivity :Human,Rat,Monkey
Applications :WB,IHC,IF
Application_all :WB:1/500 - 1/2000 IHC:1/200 - 1/1000 IF:1/200 - 1/1000
Background :Transcriptional coactivator involved in neuroepithelial stem cell differentiation and neurogenesis. Involved in particular in lens epithelial cell gene regulation and stress responses. May play an important role in lens epithelial to fiber cell terminal differentiation. May play a protective role during stress-induced apoptosis. Isoform 2 is a more general and stronger transcriptional coactivator. Isoform 2 may also act as an adapter to coordinate pre-mRNA splicing. Cellular cofactor for lentiviral integration. Tissue specificity: Widely expressed. Expressed at high level in the thymus. Expressed in fetal and adult brain. Expressed in neurons, but not astrocytes. Markedly elevated in fetal as compared to adult brain. In the adult brain, expressed in the subventricular zone (SVZ), in hippocampus, and undetectable elsewhere. In the fetal brain, expressed in the germinal neuroepithelium and cortical plate regions.
Product :Purified antibody in PBS with 0.05% sodium azide.
Purification&Purity :The antibody was affinity-purified from mouse ascites by affinity-chromatography using epitope-specific immunogen and the purity is > 95% (by SDS-PAGE).
Storage&Stability :Store at 4°C short term. Aliquot and store at -20°C long term. Avoid freeze-thaw cycles.
Specificity :Mouse IgG1
BiowMW :75kDa
Note :For research use only, not for use in diagnostic procedure.
Alternative Name :p52; p75; PAIP; DFS70; LEDGF; PSIP2; MGC74712; PSIP1
Immunogen :Purified recombinant fragment of human PSIP1 expressed in E. Coli.
Conjugate :Unconjugated
Modification :Unmodification
1上架,0下架 :1
试用装: 1是,0否 :1
限时特惠: 1是,0否 :1
Western blot analysis using PSIP1 mouse mAb against HepG2 (1), Jurkat (2), K562 (3), Cos7 (4), PC-12 (5), Hela (6), and NIH/3T3 (7) cell lysate.
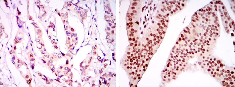
Immunohistochemical analysis of paraffin-embedded human breast cancer tissues (left) and ovarian cancer tissues (right) using PSIP1 mouse mAb with DAB staining.
Immunofluorescence analysis of NIH/3T3 cells using PSIP1 mouse mAb (green). Red: Actin filaments have been labeled with Alexa Fluor-555 phalloidin.

关注我们

400-660-9091

电话:18013895086

地址:江苏生命科技创新园F6幢1层

订购:nanjing03@biogot.com

服务:biorase01@biogot.com

合作:lvyun@biogot.com

支持:may@biogot.com