中国 EN 400-660-9091

联系我们

电话:18013895086

电话:025-68037686

地址:江苏生命科技创新园F6幢1层

订购:nanjing03@biogot.com

服务:biorase01@biogot.com

合作:lvyun@biogot.com

支持:may@biogot.com

KDM3A monoclonal antibody

货号: MB21401
价格 1200
货期 现货(1-2个工作日)
25ug 50ug 100ug 200ug
No. :MB21401
Product Name :KDM3A monoclonal antibody
Swiss-Prot :Q9Y4C1
Host :Mouse
Reactivity :Human
Applications :WB,IHC
Application_all :WB:1/500 - 1/2000 IHC:1/200 - 1/1000
Background :This gene encodes a zinc finger protein that contains a jumonji domain and may play a role in hormone-dependent transcriptional activation. JMJD1A functions as a mono- and dimethylation-specific demethylase, binding iron and -ketoglutarate as cofactors and demethylating Lysine 9 of Histone H3. This suggests that JMJD1A plays a central role in the histone code and participates in nuclear hormone receptor-based transcriptional regulation. In addition, JMJD1A plays an important role in the regulation of cell growth during development and in chromatin regulation. JMJD1A directly regulates the expression of TNP1 and Protamine 1 (proteins required for the proper packaging and condensation of sperm chromatin) and, therefore, plays an essential role in spermatogenesis.
Product :Purified antibody in PBS with 0.05% sodium azide.
Purification&Purity :The antibody was affinity-purified from mouse ascites by affinity-chromatography using epitope-specific immunogen and the purity is > 95% (by SDS-PAGE).
Storage&Stability :Store at 4°C short term. Aliquot and store at -20°C long term. Avoid freeze-thaw cycles.
Specificity :Mouse IgG1
BiowMW :147kDa
Note :For research use only, not for use in diagnostic procedure.
Alternative Name :TSGA; JMJD1; JHDM2A; JHMD2A; JMJD1A; KIAA0742; DKFZp686A24246; DKFZp686P07111; KDM3A
Immunogen :Purified recombinant fragment of human KDM3A expressed in E. Coli.
Conjugate :Unconjugated
Modification :Unmodification
1上架,0下架 :1
试用装: 1是,0否 :1
限时特惠: 1是,0否 :1
Western blot analysis using KDM3A mouse mAb against Hela (1) and HepG2 (2) cell lysate.
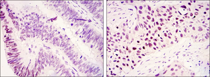
Immunohistochemical analysis of paraffin-embedded human colonic cancer tissues (left) and lung cancer tissues (right) using KDM3A mouse mAb with DAB staining.

关注我们

400-660-9091

电话:18013895086

地址:江苏生命科技创新园F6幢1层

订购:nanjing03@biogot.com

服务:biorase01@biogot.com

合作:lvyun@biogot.com

支持:may@biogot.com