中国 EN 400-660-9091

联系我们

电话:18013895086

电话:025-68037686

地址:江苏生命科技创新园F6幢1层

订购:nanjing03@biogot.com

服务:biorase01@biogot.com

合作:lvyun@biogot.com

支持:may@biogot.com

GSK3B monoclonal antibody

货号: MB21298
价格 1200
货期 现货(1-2个工作日)
25ug 50ug 100ug 200ug
No. :MB21298
Product Name :GSK3B monoclonal antibody
Swiss-Prot :P49841
Host :Mouse
Reactivity :Human,Mouse,Rat,Monkey
Applications :WB,IHC,IF,FCM
Application_all :WB:1/500 - 1/2000 IHC:1/200 - 1/1000 IF:1/200 - 1/1000 FC:1/200 - 1/400
Background :Glycogen synthase kinase 3 (GSK-3), a serine-threonine kinase with two isoforms (alpha and beta), was originally discovered as a key enzyme in glycogen metabolism. GSK-3 was subsequently shown to function in cell division, proliferation, motility and survival. GSK-3 plays a role in a number of pathological conditions including cancer and diabetes and is increasingly seen as an important component of neurological diseases. GSK-3 phosphorylates tau and presenilin-1, which are involved in the development of Alzheimer's disease. Both isoforms of GSK-3 are ubiquitously expressed, although particularly high levels of GSK-3beta are found in the brain where it is involved in synaptic plasticity, possibly via regulation of NMDA receptor trafficking. GSK-3 phosphorylates over 40 different substrates including signaling proteins, transcription factors and structural proteins, and is part of the signal transduction cascade of a large number of growth factors and cytokines. The activity of GSK is regulated by phosphorylation (Akt: Akt-mediated phosphorylation at Ser21 of GSK-3a and Ser9 of GSK-3
Product :Purified antibody in PBS with 0.05% sodium azide.
Purification&Purity :The antibody was affinity-purified from mouse ascites by affinity-chromatography using epitope-specific immunogen and the purity is > 95% (by SDS-PAGE).
Storage&Stability :Store at 4°C short term. Aliquot and store at -20°C long term. Avoid freeze-thaw cycles.
Specificity :Mouse IgG2a
BiowMW :46kDa
Note :For research use only, not for use in diagnostic procedure.
Alternative Name :GSK-3β; GSK3-beta
Immunogen :Purified recombinant fragment of human GSK3B expressed in E. Coli.
Conjugate :Unconjugated
Modification :Unmodification
Western blot analysis using GSK3B mouse mAb against A549 (1), K562 (2), PC-12 (3), NIH/3T3 (4), and HEK293 (5) cell lysate.
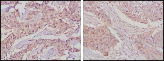
Immunohistochemical analysis of paraffin-embedded human lung cancer (left) and breast cancer tissues (right) using GSK3B mouse mAb with DAB staining.
Immunofluorescence analysis of NIH/3T3 (left) and U251 (right) cells using GSK3B mouse mAb (green). Blue: DRAQ5 fluorescent DNA dye. Red: Actin filaments have been labeled with Alexa Fluor-555 phalloidin.
Flow cytometric analysis of Hela cells using GSK3B mouse mAb (green) and negative control (purple).

关注我们

400-660-9091

电话:18013895086

地址:江苏生命科技创新园F6幢1层

订购:nanjing03@biogot.com

服务:biorase01@biogot.com

合作:lvyun@biogot.com

支持:may@biogot.com