中国 EN 400-660-9091

联系我们

电话:18013895086

电话:025-68037686

地址:江苏生命科技创新园F6幢1层

订购:nanjing03@biogot.com

服务:biorase01@biogot.com

合作:lvyun@biogot.com

支持:may@biogot.com

ERK2 monoclonal antibody

货号: MB21082
价格 1200
货期 现货(1-2个工作日)
25ug 50ug 100ug 200ug
No. :MB21082
Product Name :ERK2 monoclonal antibody
Swiss-Prot :P28482
Host :Mouse
Reactivity :Human,Mouse,Monkey
Applications :WB,IHC,IF
Application_all :WB:1/500 - 1/2000 IHC:1/200 - 1/1000 IF:1/200 - 1/1000
Background :ERK2 (also designated extracellular-signal-related kinase 2 or mitogen-activated protein kinase 1), with 360-amino acid protein (about 40kDa), belongs to the MAP kinase family. MAP kinases act as an integration point for multiple biochemical signals, and are involved in a wide variety of cellular processes such as proliferation, differentiation, transcription regulation and development. The activation of ERK2 requires its phosphorylation by upstream kinases. ERK2 is located in the cytoplasm of resting cells and translocates into the nucleus upon extracellular stimuli by active transport of a dimer. ERK2 is essential for placental development and ERK2 in the trophoblast compartment may be indispensable for the vascularization of the labyrinth.
Product :Purified antibody in PBS with 0.05% sodium azide
Purification&Purity :The antibody was affinity-purified from mouse ascites by affinity-chromatography using epitope-specific immunogen and the purity is > 95% (by SDS-PAGE).
Storage&Stability :Store at 4°C short term. Aliquot and store at -20°C long term. Avoid freeze-thaw cycles.
Specificity :Mouse IgG2a
BiowMW :41kDa
Note :For research use only, not for use in diagnostic procedure.
Alternative Name :ERK; p38; p40; p41; ERT1; MAPK2; PRKM1; P42MAPK; p41mapk; MAPK1
Immunogen :Purified recombinant fragment of human ERK2 expressed in E. Coli.
Conjugate :Unconjugated
Modification :Unmodification
Western blot analysis using ERK2 mouse mAb against Hela (1), NIH/3T3 (2), MCF-7 (3), HEK293 (4), Jurkat (5), A549 (6), NTERA-2 (7) and SMMC-7721 (8) cell lysate.
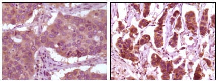
Immunohistochemical analysis of paraffin-embedded human lung carcinoma (left) and breast carcinoma (right) showing cytoplasmic localization using ERK2 mouse mAb with DAB staining.
Confocal Immunofluorescence analysis of Eca-109 cells using ERK2 mouse mAb (green).

关注我们

400-660-9091

电话:18013895086

地址:江苏生命科技创新园F6幢1层

订购:nanjing03@biogot.com

服务:biorase01@biogot.com

合作:lvyun@biogot.com

支持:may@biogot.com