中国 EN 400-660-9091

联系我们

电话:18013895086

电话:025-68037686

地址:江苏生命科技创新园F6幢1层

订购:nanjing03@biogot.com

服务:biorase01@biogot.com

合作:lvyun@biogot.com

支持:may@biogot.com

EphA2 monoclonal antibody

货号: MB21066
价格 1200
货期 现货(1-2个工作日)
25ug 50ug 100ug 200ug
No. :MB21066
Product Name :EphA2 monoclonal antibody
Swiss-Prot :P29317
Host :Mouse
Reactivity :Human
Applications :WB,IHC
Application_all :WB:1/500 - 1/2000 IHC:1/200 - 1/1000
Background :EPH receptor A2 (EphA2), with 976-amino acid protein (about 107 kDa), belongs to the ephrin receptor subfamily of the protein-tyrosine kinase family. EphA1, EphA2, EphA3, EphA4, EphA5, EphA6, EphA7, EphA8, EphA10, EphB1, EphB2, EphB3, EphB4 and EphB6 are Eph family receptors for Ephrin family ligands. In normal cells, EphA2 negatively regulates cell growth and invasiveness. EphA2 is overexpressed by many human cancers, and is often associated with poor prognostic features. The clinical significance of the expression of EphA2 was observed in breast, prostate, colon, skin, cervical, ovarian, and lung cancers.EphA2 may serve as a novel target for bladder cancer, colonic adenocarcinoma and ovarian cancer therapy.
Product :Ascitic fluid containing 0.03% sodium azide.
Purification&Purity :The antibody was affinity-purified from mouse ascites by affinity-chromatography using epitope-specific immunogen and the purity is > 95% (by SDS-PAGE).
Storage&Stability :Store at 4°C short term. Aliquot and store at -20°C long term. Avoid freeze-thaw cycles.
Specificity :Mouse IgM
Note :For research use only, not for use in diagnostic procedure.
Alternative Name :ECK; EPHA2
Immunogen :Purified recombinant fragment of EphA2 expressed in E. Coli.
Conjugate :Unconjugated
Modification :Unmodification
Western blot analysis using EphA2 mouse mAb against NIH/3T3 cell lysate.
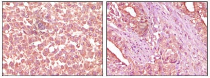
Immunohistochemical analysis of paraffin-embedded human skin carcinoma (left) and pancreas carcinoma (right) tissue, showing cytoplasmic localization using EphA2 mouse mAb with DAB staining.

关注我们

400-660-9091

电话:18013895086

地址:江苏生命科技创新园F6幢1层

订购:nanjing03@biogot.com

服务:biorase01@biogot.com

合作:lvyun@biogot.com

支持:may@biogot.com