中国 EN 400-660-9091

联系我们

电话:18013895086

电话:025-68037686

地址:江苏生命科技创新园F6幢1层

订购:nanjing03@biogot.com

服务:biorase01@biogot.com

合作:lvyun@biogot.com

支持:may@biogot.com

EphB6 monoclonal antibody

货号: MB21063
价格 1200
货期 现货(1-2个工作日)
25ug 50ug 100ug 200ug
No. :MB21063
Product Name :EphB6 monoclonal antibody
Swiss-Prot :O15197
Host :Mouse
Reactivity :Human
Applications :WB,IHC
Application_all :WB:1/500 - 1/2000 IHC:1/200 - 1/1000
Background :EPH receptor B6 (EphB6), with 1006-amino acid protein(~ 110 kDa), belongs to the ephrin receptor subfamily of the protein-tyrosine kinase family. Eph receptors and ephrin ligands are membrane-bound cell-cell communication molecules with well-defined functions in development. EphB6 is expressed both in a variety of embryonic and adult tissues. EphB6 is a unique member in the Eph family of receptor tyrosine kinases in that its kinase domain contains several alterations in conserved amino acids and is catalytically inactive. EphB6 can both positively and negatively regulate cell adhesion and migration and tyrosine phosphorylation of the receptor by an Src family kinase acts as the molecular switch for the functional transition.
Product :Purified antibody in PBS with 0.05% sodium azide
Purification&Purity :The antibody was affinity-purified from mouse ascites by affinity-chromatography using epitope-specific immunogen and the purity is > 95% (by SDS-PAGE).
Storage&Stability :Store at 4°C short term. Aliquot and store at -20°C long term. Avoid freeze-thaw cycles.
Specificity :Mouse IgG1
Note :For research use only, not for use in diagnostic procedure.
Alternative Name :HEP; MGC129910; MGC129911
Immunogen :Purified recombinant fragment of EphB6 expressed in E. Coli.
Conjugate :Unconjugated
Modification :Unmodification
Western blot analysis of Jurkat (1) and NIH/3T3 (2) cell lysate using EphB6 mouse mAb.
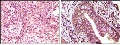
Immunohistochemical analysis of paraffin-embedded human bladder carcinoma (left) and return carcinoma (right) tissue, showing cytoplasmic localization using EphB6 mouse mAb with DAB staining.

关注我们

400-660-9091

电话:18013895086

地址:江苏生命科技创新园F6幢1层

订购:nanjing03@biogot.com

服务:biorase01@biogot.com

合作:lvyun@biogot.com

支持:may@biogot.com