中国 EN 400-660-9091

联系我们

电话:18013895086

电话:025-68037686

地址:江苏生命科技创新园F6幢1层

订购:nanjing03@biogot.com

服务:biorase01@biogot.com

合作:lvyun@biogot.com

支持:may@biogot.com

LSD1/AOF2 monoclonal antibody

货号: MB21061
价格 1200
货期 现货(1-2个工作日)
25ug 50ug 100ug 200ug
No. :MB21061
Product Name :LSD1/AOF2 monoclonal antibody
Swiss-Prot :O60341
Host :Mouse
Reactivity :Human,Mouse,Monkey
Applications :WB,IHC
Application_all :WB:1/500 - 1/2000 IHC:1/200 - 1/1000
Background :The amine oxidase domain 2 (AOF2) gene encodes a nuclear protein (LSD1, ~95kDa) containing a Swirm domain, a FAD-binding motif, and an amine oxidase domain. This protein is a component of several histone deacetylase complexes, though it silences genes by functioning as a histone demethylase. LSD1 is a chromatin-modifying enzyme, which serve as a docking module for the stabilization of the associated corepressor complex (es) on chromatin.
Product :Purified antibody in PBS with 0.05% sodium azide.
Purification&Purity :The antibody was affinity-purified from mouse ascites by affinity-chromatography using epitope-specific immunogen and the purity is > 95% (by SDS-PAGE).
Storage&Stability :Store at 4°C short term. Aliquot and store at -20°C long term. Avoid freeze-thaw cycles.
Specificity :Mouse IgG1
BiowMW :93kDa
Note :For research use only, not for use in diagnostic procedure.
Alternative Name :KDM1; LSD1; AOF2
Immunogen :Purified recombinant fragment of human LSD1 expressed in E. Coli.
Conjugate :Unconjugated
Modification :Unmodification
Western blot analysis using LSD1 mouse mAb against COS (1), Hela (2), NIH/3T3 (3), A549 (4) and Jurkat (5) cell lysate.
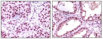
Immunohistochemical analysis of paraffin-embedded human lung carcinoma (left) and kidney carcinoma (right), showing nuclear localization using LSD1 mouse mAb with DAB staining.

关注我们

400-660-9091

电话:18013895086

地址:江苏生命科技创新园F6幢1层

订购:nanjing03@biogot.com

服务:biorase01@biogot.com

合作:lvyun@biogot.com

支持:may@biogot.com