中国 EN 400-660-9091

联系我们

电话:18013895086

电话:025-68037686

地址:江苏生命科技创新园F6幢1层

订购:nanjing03@biogot.com

服务:biorase01@biogot.com

合作:lvyun@biogot.com

支持:may@biogot.com

EphA1 monoclonal antibody

货号: MB21059
价格 1200
货期 现货(1-2个工作日)
25ug 50ug 100ug 200ug
No. :MB21059
Product Name :EphA1 monoclonal antibody
Swiss-Prot :P21709
Host :Mouse
Reactivity :Human
Applications :WB,IHC
Application_all :WB:1/500 - 1/2000 IHC:1/200 - 1/1000
Background :EPH receptor A1 (EphA1), with 976-amino acid protein(about 107 kDa), belongs to the ephrin receptor subfamily of the protein-tyrosine kinase family. The Eph subfamily represents the largest group of receptor protein tyrosine kinases identified to date and their ligands, the ephrins,can be subdivided into two major subclasses, ephrin-A and ephrin-B. Interaction of Eph receptor tyrosine kinases with their membrane bound ephrin ligands initiates bidirectional signaling events that regulate cell migratory and adhesive behavior, particularly in the nervous system. They have been implicated in various developmental processes, including axonal guidance, angiogenesis, morphogenesis and carcinogenesis.
Product :Purified antibody in PBS with 0.05% sodium azide
Purification&Purity :The antibody was affinity-purified from mouse ascites by affinity-chromatography using epitope-specific immunogen and the purity is > 95% (by SDS-PAGE).
Storage&Stability :Store at 4°C short term. Aliquot and store at -20°C long term. Avoid freeze-thaw cycles.
Specificity :Mouse IgG1
BiowMW :108kDa
Note :For research use only, not for use in diagnostic procedure.
Alternative Name :EPH; EPHT; EPHT1
Immunogen :Purified recombinant fragment of EphA1 expressed in E. Coli.
Conjugate :Unconjugated
Modification :Unmodification
Western blot analysis using EphA1 mouse mAb against A549 (1) and Hela (2) cell lysate.
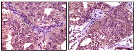
Immunohistochemical analysis of paraffin-embedded human ovary carcinoma (left) and breast carcinoma (right), showing cytoplasmic localization using EphA1 mouse mAb with DAB staining.

关注我们

400-660-9091

电话:18013895086

地址:江苏生命科技创新园F6幢1层

订购:nanjing03@biogot.com

服务:biorase01@biogot.com

合作:lvyun@biogot.com

支持:may@biogot.com