中国 EN 400-660-9091

联系我们

电话:18013895086

电话:025-68037686

地址:江苏生命科技创新园F6幢1层

订购:nanjing03@biogot.com

服务:biorase01@biogot.com

合作:lvyun@biogot.com

支持:may@biogot.com

IRS-1 (phospho-S636) polyclonal antibody

货号: BS4743
价格
货期 现货(1-2个工作日)
No. :BS4743
Product Name :IRS-1 (phospho-S636) polyclonal antibody
Swiss-Prot :P35568
Host :Rabbit
Reactivity :Human,Mouse,Rat
Applications :WB IHC IF
Application_all :WB: 1:500~1:1000 IHC: 1:50~1:200 IF: 1:50~1:200
Background :IRS-1, a major substrate of the insulin receptor, is phosphorylated in response to stimulation of cells by insulin, insulin-like growth factor 1 (IGF-1) and interleukin 4 (IL-4). IRS-1 is phosphorylated on serine, threonine and tyrosine residues in a variety of tissues. An insulin-sensitive serine/threonine kinase casein kinase II mediates a portion of the insulin-stimulated serine/threonine phosphorylation of overexpressed IRS-1 in vivo. Thr 502 is identified as the major casein kinase II-catalyzed phosphorylation site in rat IRS-1, and Ser 99 is an additional phosphorylation site catalyzed by casein kinase II. Thus, casein kinase II-catalyzed phosphorylation of IRS-1 may be a component of the intracellular insulin signaling cascade. IRS-1 contains three putative binding sites for 14-3-3 (Ser 270, Ser 374 and Ser 641) and the motif around Ser 270 is located in the phosphortyrosine binding domain of IRS-1, which is responsible for the interaction with the insulin receptor.
Product :Rabbit IgG, 1mg/ml in PBS with 0.02% sodium azide, 50% glycerol, pH7.2
Purification&Purity :The antibody was affinity-purified from rabbit antiserum by affinity-chromatography using epitope-specific immunogen and the purity is > 95% (by SDS-PAGE).
Storage&Stability :Store at 4°C short term. Aliquot and store at -20°C long term. Avoid freeze-thaw cycles.
Specificity :p-IRS-1 (S636) polyclonal antibody detects endogenous levels of IRS-1 protein only when phosphorylated at Ser636.
BiowMW :~132, 180 kDa
Note :For research use only, not for use in diagnostic procedure.
Alternative Name :Insulin receptor substrate 1; IRS-1; IRS1
Immunogen :Synthetic phosphopeptide derived from human IRS-1 around the phosphorylation site of Serine 636.
Conjugate :Unconjugated
Modification :Phosphorylation
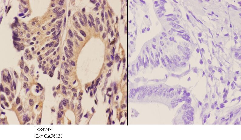
Immunohistochemistry (IHC) analyzes of p-IRS-1 (S636) pAb in paraffin-embedded human breast carcinoma tissue at 1:50.showing cytoplasmic and nucleus staining. Negative control (the right)Using PBS instead of primary antibody, secondary antibody is Goat Anti-Rabbit IgG-biotin followed by avidin-peroxidase.

关注我们

400-660-9091

电话:18013895086

地址:江苏生命科技创新园F6幢1层

订购:nanjing03@biogot.com

服务:biorase01@biogot.com

合作:lvyun@biogot.com

支持:may@biogot.com