中国 EN 400-660-9091

联系我们

电话:18013895086

电话:025-68037686

地址:江苏生命科技创新园F6幢1层

订购:nanjing03@biogot.com

服务:biorase01@biogot.com

合作:lvyun@biogot.com

支持:may@biogot.com

ACCα (phospho-S80) polyclonal antibody

货号: BS4210
价格
货期 现货(1-2个工作日)
No. :BS4210
Product Name :ACCα (phospho-S80) polyclonal antibody
Swiss-Prot :Q13085
Host :Rabbit
Reactivity :Human,Mouse,Rat
Applications :WB IHC
Application_all :WB: 1:500~1:1000 IHC: 1:50~1:200
Background :Acetyl-CoA carboxylase (ACC) is a complex multifunctional enzyme system which catalyzes the carboxylation of acetyl-CoA to malonyl-CoA, the ratelimiting step in fatty acid synthesis. Exercise diminishes the activity of acetyl- CoA carboxylase in human muscle. ACCα (ACC1) is the rate-limiting enzyme in the biogenesis of long-chain fatty acids, and ACCβ (ACC2) may control mitochondrial fatty acid oxidation. These two isoforms of ACC control the amount of fatty acids in the cells. The catalytic function of ACCα is regulated by phosphorylation (inactive) and dephosphorylation (active) of targeted Serine residues and by allosteric transformation by citrate or palmitoyl-CoA, which serve as the short-term regulatory mechanism of the enzyme. The gene encoding ACCα, which maps to human chromosome 17, encodes the 265 kDa α form of ACC, which is the major ACC in lipogenic tissues. The catalytic core of ACCβ is homologous to that of ACCα except for an additional peptide of about 150 amino acids at the N-terminus.
Product :Rabbit IgG, 1mg/ml in PBS with 0.02% sodium azide, 50% glycerol, pH7.2
Purification&Purity :The antibody was affinity-purified from rabbit antiserum by affinity-chromatography using epitope-specific immunogen and the purity is > 95% (by SDS-PAGE).
Storage&Stability :Store at 4°C short term. Aliquot and store at -20°C long term. Avoid freeze-thaw cycles.
Specificity :p-ACCα (S80) polyclonal antibody etects endogenous levels of ACCα protein only when phosphorylated at Ser80.
BiowMW :~ 265 kDa
Note :For research use only, not for use in diagnostic procedure.
Alternative Name :Acetyl-CoA carboxylase 1; Short name=ACC1; ACC-alpha; Biotin carboxylase; ACACA; ACAC; ACC1; ACCA
Immunogen :Synthetic phosphopeptide derived from human ACCα around the phosphorylation site of Serine 80.
Conjugate :Unconjugated
Modification :Phosphorylation
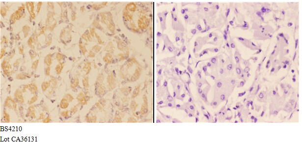
Immunohistochemistry (IHC) analyzes of ACCα (phospho-S80) pAb bin paraffin-embedded human breast carcinoma tissue at 1:50,showing cytoplasmic staining.Negative control (the right)Using PBS instead of primary antibody, secondary antibody is Goat Anti-Rabbit IgG-biotin followed by avidin-peroxidase.
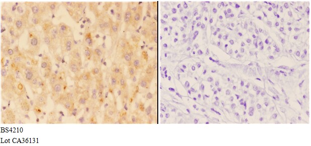
Immunohistochemistry (IHC) analyzes of ACCα (phospho-S80) pAb bin paraffin-embedded human liver carcinoma tissue at 1:50,showing cytoplasmic staining.Negative control (the right)Using PBS instead of primary antibody, secondary antibody is Goat Anti-Rabbit IgG-biotin followed by avidin-peroxidase.

关注我们

400-660-9091

电话:18013895086

地址:江苏生命科技创新园F6幢1层

订购:nanjing03@biogot.com

服务:biorase01@biogot.com

合作:lvyun@biogot.com

支持:may@biogot.com